Foram encontradas 1.119 questões.
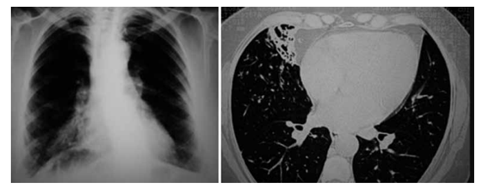
Paciente, com 40 anos, refere tosse seca há 3 meses,
dispneia progressiva, atualmente para pequenos esforços. Perda de peso de 8 kg, em 4 meses, correspondente
a 12% do peso habitual. Pressão arterial 130 x 75 mmHg.
FC = 110 bpm. Edema assimétrico de membros inferiores +/4+. Radiografia e tomografia de tórax demonstraram volumoso derrame pleural à esquerda. Submetido a
biópsia pleural com agulha e esvaziamento de 2,5 litros
de líquido pleural amarelo turvo em 15 minutos, acompanhado de episódio de bradicardia e sincope. Vinte minutos após o procedimento, paciente apresentou piora do
desconforto respiratório, estertores pulmonares bilaterais,
dessaturação e expectoração espumosa.
O diagnóstico desse paciente é de
O diagnóstico desse paciente é de
Provas
Questão presente nas seguintes provas
As opções terapêuticas para o derrame pleural neoplásico devem levar em consideração:
Provas
Questão presente nas seguintes provas
Nas ressecções pulmonares à direita, utilizando via de
acesso única (ressecções uniportais), preferencialmente
a toracotomia deverá ser feita no
Provas
Questão presente nas seguintes provas
Paciente 37 anos, masculino, com queixa de tosse crônica, expectoração esbranquiçada e diversos episódios
de pneumonias que foram tratadas com antibiótico nos
últimos 5 anos. Refere ter feito investigação para tuberculose, inclusive com “endoscopia dos pulmões”, que
resultou negativa. Apresenta radiografia e tomografia de
tórax recentes a seguir:

(Arquivo pessoal; imagens usadas com autorização)
O diagnóstico e a conduta são, respectivamente:

(Arquivo pessoal; imagens usadas com autorização)
O diagnóstico e a conduta são, respectivamente:
Provas
Questão presente nas seguintes provas
Para avaliação de risco cardiovascular/cardíaco, em
pacientes candidatos a ressecção pulmonar, e considerando o ThRCI (Thoracic revised Cardiac Risk Index),
são parâmetros que devem ser considerados na sua
determinação:
Provas
Questão presente nas seguintes provas
Paciente 60 anos, tabagista 50 anos/maço, apresenta
lesão neoplásica confirmada em lobo superior de pulmão direito, 3,0 x 3,0 x 2,5 cm, periférica e não obstrutiva. Não há evidências de outros sítios comprometidos
por neoplasia. A avaliação pré-operatória evidenciou:

Com base nessas informações, assinale a alternativa correta.

Com base nessas informações, assinale a alternativa correta.
Provas
Questão presente nas seguintes provas
Paciente 48 anos, com neoplasia de mama (carcinoma
ductal invasivo, positivo para marcadores hormonais). Estadiamento da doença mamária demonstra nódulo pulmonar,
padrão de vidro fosco, em lobo superior de pulmão esquerdo (tomografia de tórax), com 1,8 cm no maior eixo, alongado, distante 1,0 cm da parece torácica lateral. Paciente
tem tomografia de tórax realizada 5 anos atrás, evidenciando o nódulo, com as mesmas características. No momento,
assintomática do ponto de vista infeccioso e pulmonar.
Dados: PET = pósitron emission tomography; CT = computet tomography; SUV = standardized uptake value; BAAR = bacilo álcool ácido resistente.
A conduta momentânea, quanto ao nódulo pulmonar, será submeter a paciente a
Dados: PET = pósitron emission tomography; CT = computet tomography; SUV = standardized uptake value; BAAR = bacilo álcool ácido resistente.
A conduta momentânea, quanto ao nódulo pulmonar, será submeter a paciente a
Provas
Questão presente nas seguintes provas
Paciente com carcinoma epidermoide localizado em óstio
de brônquio lobar superior direito (BLSD), com irregularidade no epitélio da carina secundária (BLSD e BPD).
Mediastino sem comprometimento neoplásico. PET/CT
não identifica outras áreas de captação anômala.
Dados: VO2max = volume de oxigênio máximo; TSE = teste de subida de escada; SWT = suttle walk test; pCO2 = pressão parcial de gás carbônico; VEF = volume expiratório forçado no 1º segundo.
O paciente deverá ser excluído da possibilidade de tratamento cirúrgico se apresentar:
Dados: VO2max = volume de oxigênio máximo; TSE = teste de subida de escada; SWT = suttle walk test; pCO2 = pressão parcial de gás carbônico; VEF = volume expiratório forçado no 1º segundo.
O paciente deverá ser excluído da possibilidade de tratamento cirúrgico se apresentar:
Provas
Questão presente nas seguintes provas
Paciente com 65 anos apresenta neoplasia em lobo inferior de pulmão direito. Tabagista 40 anos/maço. Hipertenso.
Avaliação pré-operatória identificou prova de função pulmonar, sem utilização de broncodilatador, com VEF1 = 60% do
previsto.
De acordo com a ATS/ERS e baseado apenas nesse resultado, é possível inferir inicialmente que o paciente apresenta distúrbio pulmonar ventilatório
De acordo com a ATS/ERS e baseado apenas nesse resultado, é possível inferir inicialmente que o paciente apresenta distúrbio pulmonar ventilatório
Provas
Questão presente nas seguintes provas
Após investigação, constatou-se que o profissional de
enfermagem cometeu infração ética ao revelar em suas
redes sociais; fato que teve conhecimento em razão de
sua atividade profissional, sem o consentimento escrito
da pessoa envolvida ou de seu representante ou responsável legal.
Frente a essa situação, de acordo com o estabelecido pelo Código de Ética dos Profissionais de Enfermagem, o profissional de enfermagem está sujeito à penalidade de
Frente a essa situação, de acordo com o estabelecido pelo Código de Ética dos Profissionais de Enfermagem, o profissional de enfermagem está sujeito à penalidade de
Provas
Questão presente nas seguintes provas
Cadernos
Caderno Container