Foram encontradas 960 questões.
Analise o caso a seguir para responder às questões de 30 a 32.
Uma paciente de 52 anos realiza ultrassonografia de mamas de rotina. O exame evidencia uma alteração focal na mama esquerda, conforme mostrado na figura a seguir:

Com base no caso e na imagem, qual a conduta mais adequada?
Provas
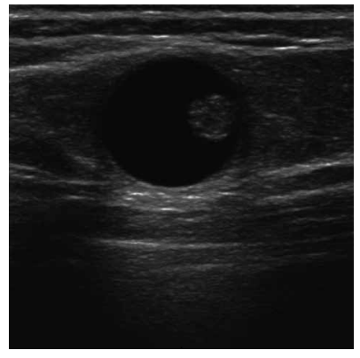
Analise o caso a seguir para responder às questões de 30 a 32.
Uma paciente de 52 anos realiza ultrassonografia de mamas de rotina. O exame evidencia uma alteração focal na mama esquerda, conforme mostrado na figura a seguir:

Com base nesse achado, assinale a alternativa que melhor descreve o padrão ultrassonográfico observado e sua classificação BI-RADS.
Provas
Uma mulher de 51 anos realiza mamografia de rastreamento. O exame identifica, na mama esquerda, um nódulo ovalado, de contornos parcialmente indistintos, com densidade alta, medindo 1,5 cm, localizado no quadrante superior externo. Não foram identificadas calcificações associadas ou alteração da arquitetura. Diante desse achado, qual é a melhor classificação BI-RADS e conduta?
Provas
Paciente de 36 anos, com ciclos menstruais regulares, foi encaminhada para ressonância magnética das mamas como parte da avaliação de alto risco familiar para câncer de mama. Durante a consulta, ela questiona qual o melhor momento do ciclo para realizar o exame, a fim de aumentar sua eficácia diagnóstica. Qual é a orientação correta quanto ao período ideal para a realização da ressonância magnética das mamas?
Provas
Uma paciente de 48 anos, com mamas de volume médio, foi diagnosticada com carcinoma ductal in situ (CDIS) grau 3 em biópsia core. O nódulo é palpável e mede 2,5 cm em seu maior eixo, sem linfonodos clinicamente suspeitos. A equipe cirúrgica optou por realizar cirurgia conservadora com radioterapia adjuvante. Qual a conduta mais adequada em relação à avaliação axilar?
Provas
Uma adolescente de 13 anos é encaminhada ao mastologista por apresentar assimetria mamária visível, com maior desenvolvimento da mama direita em comparação à esquerda. A mãe relata que a menina começou a desenvolver os seios aos 10 anos e teve a menarca há cerca de 8 meses. Ao exame físico, ambas as mamas se encontram em estágios avançados de desenvolvimento puberal (Tanner IV), sem nódulos ou alterações de pele. Qual a conduta mais adequada nesse momento?
Provas
Uma mulher de 65 anos, previamente tratada por câncer de mama há 10 anos, é levada ao pronto atendimento por familiares devido a fraqueza intensa, sonolência, constipação e episódios recentes de confusão mental. Ela também relata dor lombar progressiva nas últimas semanas. Os familiares mencionam que ela tem urinado com frequência aumentada e bebido muita água. Não há febre ou sinais de infecção.
Diante do quadro clínico, qual o distúrbio metabólico mais provável?
Provas
Uma adolescente de 14 anos é levada pelos pais ao consultório devido ao surgimento de aumento da mama esquerda há aproximadamente 5 meses. Ela nega dor local, febre ou secreção mamilar. Ao exame físico, nota-se ginecomastia unilateral leve, sem sinais inflamatórios ou linfonodos palpáveis. A paciente apresenta desenvolvimento puberal compatível com a idade e os exames laboratoriais (função hepática, renal e perfil hormonal) estão dentro da normalidade.
Qual é a conduta mais adequada neste momento?
Provas
Uma adolescente de 16 anos procura atendimento médico com queixa de assimetria mamária à esquerda. Relata que desde o início do desenvolvimento mamário percebe menor crescimento do lado esquerdo. Ao exame físico, observa-se hipoplasia da mama esquerda, ausência do sulco inframamário ipsilateral e assimetria evidente da parede torácica anterior. Não há outras alterações clínicas relevantes e a paciente apresenta bom estado geral.
Com base nesse quadro clínico, qual é a alternativa correta sobre o diagnóstico mais provável?
Provas
As espécies reativas de oxigênio produzidas pelo metabolismo celular são mantidas em baixas concentrações intracelulares pela ação de enzimas antioxidantes. Assim sendo, considere a seguinte reação:
2 GSH + H₂O₂ (ou ROOH) → GSSG + 2 H₂O (ou ROH + H₂O)
Essa reação é catalisada pela enzima
Provas
Caderno Container