Foram encontradas 960 questões.
Paciente de 2 anos é submetido à endoscopia digestiva alta 1 hora após ingestão de bateria de lítio, removida do esôfago sem intercorrências. No exame, observa-se mucosa esofágica com áreas esbranquiçadas, edema moderado e erosões lineares, mas sem sinais de perfuração. Nas 24 horas seguintes, permanece hemodinamicamente estável, sem sinais de perfuração.
Com base nas recomendações atualizadas da Sociedade Brasileira de Pediatria, qual das seguintes condutas é a mais apropriada neste caso?
Provas
Sobre o tratamento padronizado da tuberculose em crianças com < 10 anos e peso inferior a 25 kg, é correto afirmar:
Provas
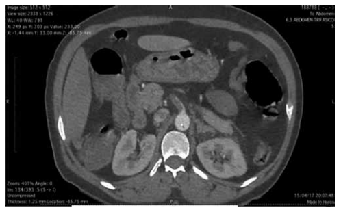
Mulher de 78 anos, hipertensa e fibrilação atrial crônica, sem anticoagulação, apresenta dor abdominal difusa de início súbito há 4 horas, desproporcional ao exame físico. FC: 118 bpm, PA: 132/74 mmHg, afebril. Abdome flácido, sem sinais de peritonite. Leucograma: 18.500/mm³, D-dímero: elevado, Lactato: 4,5 mmol/L. TC de abdome com contraste demonstrada na imagem a seguir:

(Arquivo pessoal; imagem usada com autorização)
Qual é a melhor conduta inicial?
Provas
Com base no Guia Prático de Atualização – Parasitoses intestinais: diagnóstico e tratamento (SBP, 2020) e sobre a estrongiloidíase em crianças imunossuprimidas, assinale a alternativa correta.
Provas
O conhecimento dos padrões normais de crescimento permite que sejam realizadas intervenções precoces, melhorando o prognóstico dos pacientes com baixa estatura. Sobre esse tema, assinale a afirmativa correta.
Provas
O microscópio com seu alto potencial, e iluminação e magnificação do campo operatório, permite a realização de procedimentos odontológicos com mais precisão e detalhes.
Com relação à microscopia eletrônica de varredura, é correto afirmar que
Provas
Segundo a Organização Mundial da Saúde, a anemia é um problema de saúde pública, gerando impactos sociais e econômicos. A anemia por carência de ferro é responsável por aproximadamente metade dos casos, reduzindo o bem-estar e prejudicando o desenvolvimento motor e cognitivo dos pacientes. Sobre a prevenção da anemia ferropriva, é correto afirmar:
Provas
Em geral, instrumentos endodônticos são ferramentas metálicas empregadas como agentes mecânicos na instrumentação de canais radiculares. São fabricados de ligas de aço inoxidável ou níquel-titânio (Ni-Ti).
A liga níquel-titânio (Ni-Ti) pertence a um grupo de ligas metálicas com propriedades especiais caracterizadas pela(o)
Provas
Homem de 56 anos, etilista crônico, com diagnóstico prévio de cirrose hepática por hepatite C, dá entrada no pronto-socorro com quadro de hematêmese volumosa e melena. Encontra-se hipotenso (PA 82/53 mmHg), taquicárdico (FC 116 bpm) e com rebaixamento do nível de consciência (Glasgow 12). Hemoglobina inicial: 6,8 g/dL; Plaquetas: 60.000/mm³; INR: 2,1. A endoscopia digestiva alta realizada 6 horas após estabilização parcial revela varizes esofágicas calibrosas com sangramento ativo. Após manutenção das vias aéreas/ventilação/oxigenação, qual é a melhor conduta terapêutica inicial para esse paciente, com intuito de promover estabilização hemodinâmica?
Provas
Em 2022, a Sociedade Brasileira de Pediatria publicou diretrizes de reanimação neonatal em sala de parto, divididas conforme a idade gestacional. Sobre as recomendações para recém-nascidos com idade gestacional igual ou superior a 34 semanas, assinale a alternativa correta.
Provas
Caderno Container