Foram encontradas 1.940 questões.
São fatores de risco para ectasia corneana no pós-operatório de cirurgia refrativa a laser:
Provas
Segundo as Diretrizes de Cirurgia Refrativa do CBO, assinale a alternativa correta.
Provas
Deve-se optar pelo uso de lentes de contato rígidas gás permeáveis em vez das gelatinosas em casos de
Provas
Assinale a alternativa correta em relação às possíveis indicações das lentes de contato.
Provas
Paciente de 72 anos, do sexo feminino, pseudofácica com lente intraocular monofocal, chega ao consultório dizendo que é artista plástica e que precisa enxergar bem a 20 cm de distância no seu trabalho.
Seu exame oftalmológico mostrou:
Refração subjetiva: OD – 1.75 D.E. = 20/20.
OE – 1.25 D.E. = 20/20.
Biomicroscopia: pseudofacia AO.
Tonometria de aplanação: 12 mmHg AO (10 horas).
Fundoscopia: sem alterações AO.
Os óculos de que essa paciente precisa para trabalhar devem ter a seguinte prescrição:
Provas
As cefaleias causadas por ametropias têm as seguintes ametropias:
Provas
Com relação aos fatores de variação da acuidade visual (Chevaleraud, 1983), assinale a alternativa correta.
Provas
Com relação à inserção dos músculos retos e oblíquos na esclera, descritas por Tillaux (1908), assinale a alternativa correta.
Provas
Em relação às células da crista neural, assinale a alternativa correta.
Provas
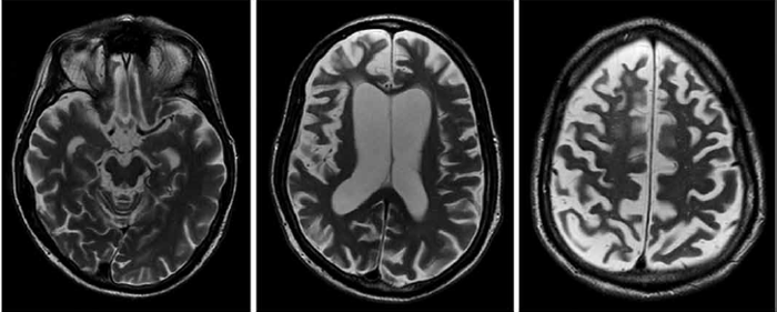
Observe a ressonância magnética a seguir.

(https://www.google.com/url?sa=i&url=https%3A%2F%2Fwww.pacificneuroscienceinstitute.org)
Um homem de 65 anos apresenta-se para avaliação neurológica com queixas de movimentos involuntários lentos e contorcidos afetando principalmente os membros superiores. Ele relata que esses sintomas começaram há cerca de dois anos e têm piorado progressivamente, interferindo nas atividades diárias, como escrever e manusear utensílios. O exame físico revela distonia axial leve e ausência de sinais parkinsonianos. Não há histórico familiar conhecido da condição. Com base na apresentação clínica e na imagem da ressonância desse paciente, qual dos seguintes diagnósticos é mais provável?
Provas
Caderno Container