Foram encontradas 1.460 questões.
Assinale a alternativa que apresenta, correta e respectivamente, o fármaco antiepilético, seu mecanismo de ação e sua principal indicação no tratamento das crises epilépticas.
Provas
Paciente feminina, 42 anos, foi encaminhada ao pronto-socorro apresentando quadro nunca antes relatado de crises convulsivas, tipo parcial complexa, de início em face e membro superior direito com generalização secundária. No primeiro atendimento pelo SAMU, relato de familiares que ela já apresentava as crises há 5 minutos. Na ambulância, foi realizado diazepam até o escalonamento da dose para 15 mg endovenoso, sem melhora das crises epilépticas. Na admissão no hospital, após 15 minutos de manutenção das crises convulsivas generalizadas e sem reposta à dose de 15 mg/kg de fenitoína endovenoso. Assinale a alternativa que contempla o melhor fármaco antiepiléptico para este caso.
Provas
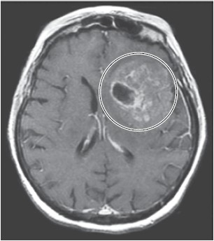
A imagem de ressonância magnética de encéfalo a seguir demonstra uma lesão cerebral captante de contraste em T1. Assinale a alternativa que corretamente identifica a mutação genética mais comum neste tipo de lesão.

(Arquivo pessoal; imagem usada com autorização)
Provas
Assinale a alternativa correta a respeito do tipo de neoplasia do sistema nervoso central que, em algumas ocasiões, pode vir acompanhada de papiledema, mesmo sem efeito compressivo no sistema liquórico e sem efeito de massa.
Provas
Homem, 60 anos, sem antecedentes prévios, foi admitido no pronto-socorro com quadro de afasia mista. Na admissão encontrava-se afebril, taquicárdico e pressão arterial de 210/103 mmHg. As imagens de tomografia de crânio realizadas estão a seguir. As setas indicam um sinal característico encontrado nas suspeitas de trombose venosa cerebral. Assinale a alternativa correta.

(Arquivo pessoal; imagem usada com autorização)
Provas
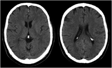
A tomografia de crânio a seguir corresponde a um paciente de 65 anos e hipertenso, admitido no pronto-socorro com crises convulsivas. Assinale a alternativa correta a respeito do local apontado pela seta na imagem.

(Arquivo pessoal; imagem usada com autorização)
Provas
Paciente de 42 anos, feminina, diabética tipo 1, admitida com quadro súbito de afasia e hemiplegia completa à direita. Pontuação na escala do NIH de 12. Ao questionarem os familiares sobre a hora do início dos sintomas, a mãe informa que falou com a filha pelo telefone há cerca de 6 horas e ela encontrava-se normal. Sinais vitais: pressão arterial de 130/80 mmHg, glicemia capilar de 186 mg/dL, Sat02 em ar ambiente de 94%. Enfermagem nota que ela se encontra em seu período menstrual. Tomografia de crânio com 6,5 horas do início dos sintomas com ASPECTS de 8. Assinale a alternativa correta referente ao tratamento na fase aguda desta paciente.
Provas
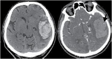
Paciente de 71 anos, masculino, hipertenso e diabético, admitido no pronto-socorro com hemiplegia completa à esquerda com 2 horas do início dos sintomas. Pontuação na escala do NIH de 8. Na admissão, pressão arterial de 180/90 mmHg, glicemia capilar 125 mg/dL, Sat02 em ar ambiente de 94%. Tomografia de crânio sem contraste exibida a seguir. Assinale a alternativa que apresenta corretamente a melhor conduta para este paciente.

(Arquivo pessoal; imagem usada com autorização)
Provas
A Síndrome de Gerstmann, causada por lesões na região do córtex parietal inferior, é caracterizada por alguns achados semiológicos característicos. Assinale a alternativa que corretamente apresenta dois destes sinais.
Provas
Na avaliação clínica de um paciente com queixa de perda de memória, como é denominada a observação de diminuição na capacidade de abstração, atenção e resolução de problemas?
Provas
Caderno Container