Foram encontradas 1.460 questões.
Em indivíduo de 50 anos, hipertenso, com hipercolesterolemia familiar heterozigótica e LDL-colesterol de 350 mg/dL, deve-se ter como objetivo atingir níveis de LDL abaixo de:
Provas
Paciente com estase jugular, ascite e edema de membros inferiores, apresenta levantamento paraesternal e sopro holossistólico que aumenta de intensidade com a inspiração. Assinale a alternativa correta quanto à hipótese diagnóstica.
Provas
Assinale a alternativa correta em relação à ablação da fibrilação atrial (FA).
Provas
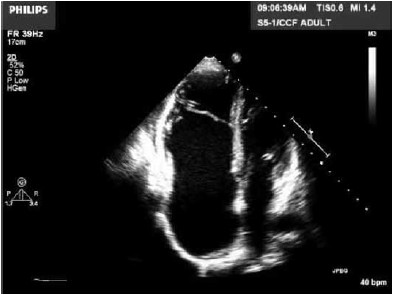
Homem, 75 anos, apresenta dispneia aos esforços e ortopneia. Antecedentes pessoais: hipertensão arterial, síndrome do túnel do carpo e litíase renal. O ecocardiograma mostra as imagens a seguir:

(Arquivo pessoal; imagens usadas com autorização)
Assinale a alternativa correta quanto à hipótese diagnóstica.
Provas
Em pacientes com estenose aórtica e fração de ejeção reduzida, pode-se indicar a realização de ecocardiografia sob estresse farmacológico com doses baixas de dobutamina para avaliar pacientes com gradientes sistólicos intermediários e área valvar menor que 1,0 cm2. Além de avaliar a resposta dos gradientes e da área com a dobutamina, também se avalia a reserva contrátil, que é um fator prognóstico nestes pacientes. A presença de reserva contrátil é definida pela seguinte resposta à dobutamina:
Provas
Mulheres cardiopatas em idade fértil podem apresentar contraindicação formal à gestação, ou outras doenças que podem representar baixo ou alto risco durante a gravidez. Assinale a alternativa que contém uma contraindicação à gravidez.
Provas
Mulher, 25 anos, apresenta intolerância aos esforços e palpitações. Realiza ecocardiograma apresentado na imagem a seguir.

(Arquivo pessoal; imagem usada com autorização)
Assinale a alternativa correta quanto à hipótese diagnóstica.
Provas
Assinale a alternativa correta em relação à pericardite tuberculosa.
Provas
Homem, 60 anos, procura atendimento médico por dispneia. Ao palpar o pulso, nota-se que o pulso apresenta variabilidade da amplitude a cada batimento. Assinale a alternativa correta em relação à suspeita nessa situação.
Provas
Homem, 70 anos, hipertenso, inicia dor súbita em dorso de forte intensidade, em caráter de faca, associada à pressão arterial de 230 x 120 mmHg. Realiza angiotomografia que revela hematoma intramural em aorta torácica descendente proximal. A provável fisiopatologia desse achado é
Provas
Caderno Container