Magna Concursos

Foram encontradas 1.580 questões.

2829204 Ano: 2022
Disciplina: Medicina
Banca: VUNESP
Orgão: EsFCEx

Assinale a alternativa correta considerando a fisiopatogênese da síndrome hepatorrenal.

 

Provas

Questão presente nas seguintes provas
2829203 Ano: 2022
Disciplina: Medicina
Banca: VUNESP
Orgão: EsFCEx

Paciente do sexo masculino, 40 anos de idade, asiático, apresenta hematúria, proteinúria e síndrome nefrótica resistente à corticoterapia. O anatomopatológico está representado nas figuras a seguir.

Enunciado 3014213-1

O provável diagnóstico é

 

Provas

Questão presente nas seguintes provas
2829202 Ano: 2022
Disciplina: Medicina
Banca: VUNESP
Orgão: EsFCEx

Em relação ao transplante renal, a complicação mais frequente relatada na literatura é

 

Provas

Questão presente nas seguintes provas
2829201 Ano: 2022
Disciplina: Medicina
Banca: VUNESP
Orgão: EsFCEx

Em relação à glomerulopatia do C3, é correto afirmar:

 

Provas

Questão presente nas seguintes provas
2829200 Ano: 2022
Disciplina: Medicina
Banca: VUNESP
Orgão: EsFCEx

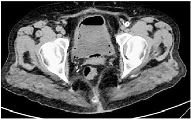
Paciente diabética, portadora de IRC em programa de diálise, apresenta ITU de repetição por Escherichia Coli.

Enunciado 3014210-1

Na CT de bexiga sem contraste, foi encontrado o seguinte diagnóstico:

 

Provas

Questão presente nas seguintes provas
2829199 Ano: 2022
Disciplina: Medicina
Banca: VUNESP
Orgão: EsFCEx

Nas recomendações do KDIGO para estadiamento da lesão renal aguda em relação à creatinina sérica (sCr), o estágio 2 é definido por

 

Provas

Questão presente nas seguintes provas
2829198 Ano: 2022
Disciplina: Medicina
Banca: VUNESP
Orgão: EsFCEx

Em relação ao rim no envelhecimento, é correto afirmar:

 

Provas

Questão presente nas seguintes provas
2829197 Ano: 2022
Disciplina: Medicina
Banca: VUNESP
Orgão: EsFCEx

No tratamento para tuberculose, um dos tuberculostáticos utilizados pode levar à nefrite intersticial. A medicação responsável é

 

Provas

Questão presente nas seguintes provas
2829196 Ano: 2022
Disciplina: Medicina
Banca: VUNESP
Orgão: EsFCEx

Síndrome familiar com predisposição a tumores multicentros, incluindo tumores cerebelares, retina e carcinoma de células renais bilaterais. Trata-se de

 

Provas

Questão presente nas seguintes provas
2829195 Ano: 2022
Disciplina: Medicina
Banca: VUNESP
Orgão: EsFCEx

No carcinoma de células claras (CCR), que representa 90% dos tumores renais, qual é a conduta no estádio T1a, M0, N0?

 

Provas

Questão presente nas seguintes provas