Foram encontradas 1.540 questões.
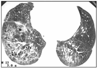
Mulher, 46 anos, procura atendimento médico com queixa de sensação de fraqueza e adinamia. Observou que, principalmente em dias mais frios, apresenta palidez e cianose em extremidades. Além disso, já procurou dermatologista por queda de cabelo, além de espessamento e endurecimento da pele. Houve surgimento de diversas lesões de pele com características de teleangiectasias e, recentemente, passou a cursar com disfagia a alimentos sólidos e dispneia aos pequenos esforços. O ecocardiograma transtorácico revelou PSAP de 70 mmHg, e um corte da tomografia de tórax realizada está ilustrado a seguir.

Considerando a principal hipótese diagnóstica, sabe-se que o autoanticorpo que se correlaciona aos achados e a mau prognóstico é o
Provas
Paciente portadora de artrite reumatoide em tratamento regular e de longa data com metotrexato, tem cursado com náusea intensa e muita dificuldade para se alimentar devido ao aparecimento de estomatite ulcerativa na boca. Ao exame físico, nota-se, além da estomatite, importantes gengivite e glossite. Avaliação laboratorial: Hb = 9,9 g/dL, Ht = 27%, leucócitos 3 800 (20% de neutrófilos), TGO = 72 UI e TGP = 66 UI.
Está indicada a suplementação de
Provas
Homem, 42 anos, refere ser portador de úlcera duodenal há 10 anos, em tratamento irregular. Não apresenta outras comorbidades. Procura atendimento médico relatando mudança no comportamento da dor há seis horas. A dor está contínua nas últimas horas, de forte intensidade e com irradiação para o dorso. Apresenta náusea e sudorese associada. Exame físico: abdome plano, flácido, pouco doloroso e descompressão brusca negativa; sinais vitais normais.
Assinale a alternativa que apresenta a hipótese diagnóstica mais provável.
Provas
Mulher, 74 anos, apresenta dificuldade em manter a cabeça erguida, disfagia e disartria intermitentes. Familiares relatam que há piora evidente no período noturno. Nega dor, fraqueza nas extremidades, sintomas cognitivos ou visuais. Previamente hígida, não faz uso de medicamentos. Exame físico: sinais vitais normais; apresenta fala levemente disártrica e fraqueza à extensão cervical. Restante do exame neurológico normal. Exames laboratoriais relevantes: CPK normal e anticorpo antirreceptor de acetilcolina negativo. Foi realizada ressonância do cérebro que não evidenciou anormalidades.
O diagnóstico mais provável é de
Provas
Mulher, 72 anos é avaliada com quadro de perda visual súbita, iniciada há 24 horas. Tem antecedente de hipertensão arterial e diabetes mellitus tipo 2 e faz uso de enalapril, anlodipina e metformina. Exame físico: PA = 130 x 70 mmHg e FC 102 bpm; ausência de sopro carotídeo; ausculta pulmonar normal; ausculta cardíaca com ritmo irregular, sem sopros; avaliação neurológica evidencia deficit no campo visual do lado direito de ambos os olhos; nenhuma fraqueza ou perda sensorial é observada.
Assinale a alternativa que aponta o resultado mais provável do exame de tomografia de crânio.
Provas
Em relação à fibrilação atrial, assinale a alternativa correta.
Provas
Homem, 66 anos, antecedente de infarto agudo do miocárdio, com angioplastia primária na época, e ecocardiograma com disfunção sistólica moderada, apresenta creatinina = 2,35 mg/dL e hemoglobina glicada = 7,5%.
O hipoglicemiante mais adequado para esse caso, dentre as opções a seguir, é:
Provas
Homem, 82 anos, hipertenso, portador de insônia e hipertrofia prostática benigna, mora sozinho e é independente para as atividades da vida diária. Sofre queda ao ir ao banheiro de madrugada e é trazido ao pronto atendimento. Faz uso dos seguintes medicamentos: doxazosina, hidroclorotiazida, clonidina, enalapril e bromazepam.
É mais provável que a queda seja resultado de
Provas
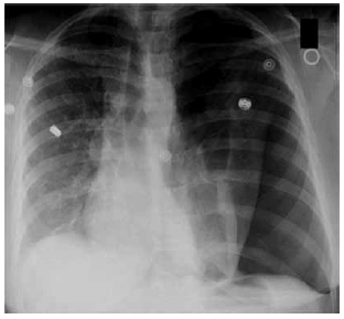
Homem, 55 anos, encontra-se internado para tratamento da covid-19. No décimo sexto dia da doença, tendo sido extubado há 48 horas, recebeu alta para a enfermaria, onde permaneceu em uso de cateter nasal de O2 2 L/min. Encontra-se em uso de enoxaparina 40 mg, metilprednisolona 40 mg/dia e esomeprazol. Antecedentes pessoais: tabagista, com carga tabágica de 60 maços-ano, e obeso. Durante a noite, apresentou episódio de dispneia súbita, associada à dor torácica à esquerda, sendo necessária máscara de Venturi 50% para manter SpO2 em torno de 91%. Neste momento, o exame clínico do paciente apresentava os seguintes achados relevantes: PA = 110 x 70 mmHg, FC = 110 bpm, SpO2 = 92%, FR = 26 ipm; ausculta pulmonar abolida em hemitórax esquerdo, com estertores difusos em hemitórax direito.
A radiografia de tórax encontra-se a seguir.

Assinale a alternativa que apresenta a conduta correta, neste momento.
Provas
Homem, 67 anos, apresenta queixa de aumento do volume abdominal há 1 ano, acompanhado de astenia e dispneia ao se levantar do leito. Há 8 meses, teve internação hospitalar por hemorragia digestiva alta, sendo necessária ligadura elástica de varizes esofágicas. Exame clínico: regular estado geral, eupneico em ar ambiente com SpO2 = 94%; presença de ginecomastia, eritema palmar e lesões cutâneas avermelhadas; auscultas cardíaca e pulmonar sem alterações; abdome globoso, fígado não palpável e espaço de Traube submaciço à percussão; membros inferiores sem edemas. Quando o paciente se levanta, nota-se queda de SpO2 para 88%. A seguir, está ilustrado o tipo de lesão cutânea encontrada no exame físico desse paciente.

Foi realizada uma tomografia de tórax, que descartou doença pulmonar.
O exame apropriado para a investigação etiológica da dispneia desse paciente é:
Provas
Caderno Container