Foram encontradas 1.540 questões.
Para responder à questão, considere o caso apresentado a seguir.
Mãe leva ao pediatra filho que está apresentando febre alta (39 ºC) e manchas no corpo bastante pruriginosas. Ao exame físico, o profissional conclui que se trata de um caso de varicela e que a criança não deve frequentar a escola por um período.
O período que a criança deverá permanecer em casa devido ao risco de transmissão é
Provas
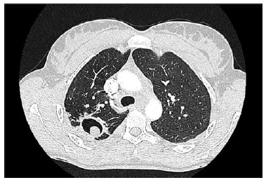
Paciente do sexo masculino com 53 anos de idade procura pneumologista devido ao surgimento de hemoptise há, aproximadamente, 3 meses. Relata que os episódios têm sido mais frequentes e com maior volume de sangue eliminado. A tomografia de tórax do paciente é apresentada a seguir.

A melhor conduta terapêutica para esse paciente é
Provas
Funcionário de uma unidade de terapia intensiva é vítima de um acidente perfurocortante com agulha de coleta de sangue para exames laboratoriais. Na conversa com o médico que atende o acidente ocupacional, ele pergunta qual é a doença com o maior risco de aquisição. Nesse caso, o médico deve responder que é
Provas
A pessoa que vive com HIV/AIDS
Provas
Para responder à questão, considere o caso a seguir.
Paciente do sexo feminino, 31 anos, chega com o companheiro à Unidade Básica de Saúde para fazer pré-natal. Relata que ele é o único e fixo parceiro há 3 anos. Na anamnese, negam antecedentes mórbidos e de infecções sexualmente transmissíveis. Realizado teste rápido para sífilis que revela resultado positivo. O VDRL posterior acusa uma positividade com título de 1/64.
Se, na maternidade, no pré-parto, o VDRL da mãe for de 1/32, a conduta em relação ao bebê é
Provas
Para responder à questão, considere o caso a seguir.
Paciente do sexo feminino, 31 anos, chega com o companheiro à Unidade Básica de Saúde para fazer pré-natal. Relata que ele é o único e fixo parceiro há 3 anos. Na anamnese, negam antecedentes mórbidos e de infecções sexualmente transmissíveis. Realizado teste rápido para sífilis que revela resultado positivo. O VDRL posterior acusa uma positividade com título de 1/64.
A gestante deve ser acompanhada
Provas
Para responder à questão, considere o caso a seguir.
Paciente do sexo feminino, 31 anos, chega com o companheiro à Unidade Básica de Saúde para fazer pré-natal. Relata que ele é o único e fixo parceiro há 3 anos. Na anamnese, negam antecedentes mórbidos e de infecções sexualmente transmissíveis. Realizado teste rápido para sífilis que revela resultado positivo. O VDRL posterior acusa uma positividade com título de 1/64.
O tratamento de escolha para o caso é feito com
Provas
Para responder à questão, considere o caso a seguir.
Paciente do sexo feminino, 31 anos, chega com o companheiro à Unidade Básica de Saúde para fazer pré-natal. Relata que ele é o único e fixo parceiro há 3 anos. Na anamnese, negam antecedentes mórbidos e de infecções sexualmente transmissíveis. Realizado teste rápido para sífilis que revela resultado positivo. O VDRL posterior acusa uma positividade com título de 1/64.
Na evolução natural da sífilis, a paciente encontra-se no período
Provas
Em relação à profilaxia pré-exposição (PrEP) para AIDS, assinale a alternativa correta.
Provas
Para responder à questão, considere o caso a seguir.
Paciente com 68 anos chega ao PS com o acompanhante relatando a presença de cefaleia intensa há 2 dias, acompanhada de febre alta (38,5 ºC) e sonolência. Hoje, apresentou um episódio de vômito com acentuação da diminuição do nível de consciência. Ao exame físico, rigidez de nuca e Glasgow 12. Realizado exame do LCR que apresentou celularidade de 300 células com 78% de polimorfonucleares, bacterioscopia revela diplococos Gram positivos.
Qual a norma de isolamento e precauções que deve ser implantada na internação do paciente?
Provas
Caderno Container