Foram encontradas 1.540 questões.
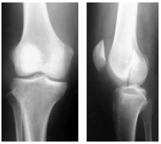
Considere a radiografia:

A fratura do porção distal do fêmur apresentada nessa radiografia é classificada pela AO:
Provas
Sobre o menisco discoide, é correto afirmar que
Provas
Qual a complicação mais frequente após a reconstrução do ligamento cruzado posterior pela técnica Inlay?
Provas
Sobre as complicações relacionadas a reconstrução do ligamento cruzado anterior, é correto afirmar que
Provas
Sobre as lesões do ligamento colateral lateral e do canto posterolateral, é correto afirmar que
Provas
Na reconstrução do ligamento cruzado anterior, é uma contraindicação de uso do enxerto autólogo do tendão patelar:
Provas
Na reconstrução do ligamento cruzado anterior, o túnel tibial deve estar posicionado na articulação:
Provas
Sobre as lesões isoladas do ligamento colateral medial do joelho, sem lesões associadas de outros ligamentos, é correto afirmar que
Provas
Em relação ao manejo de falha óssea contida durante a revisão de ATJ, é tipicamente indicado preenchimento com cimentado em falhas com profundidade até
Provas
Em relação à punção articular para diagnóstico de uma artroplastia total do joelho infectada, assinale a alternativa correta.
Provas
Caderno Container