Foram encontradas 1.540 questões.
Menino, 21 dias de vida, nascido de parto normal em aleitamento materno exclusivo, com bom ganho de peso, apresenta crostas amareladas aderidas ao couro cabeludo e placas eritematodescamativas nas regiões cervical, axilares e periumbilical. O restante do exame físico é normal.
O diagnóstico adequado ao quadro e o tratamento indicado são, respectivamente:
Provas
De acordo com o desenvolvimento linguístico e do pensamento simbólico da criança, a partir de qual idade é esperado o atendimento à ordem: “me dê a bola e depois pegue os seus sapatos”?
Provas
Na gastroenterite aguda infecciosa, os sintomas, a perda de água e íons e a má-absorção de nutrientes são decorrentes da patogênese do agente etiológico: “invasão superficial da mucosa colônica por meio das células M localizadas entre as placas de Peyer, apoptose de macrófagos após a fagocitose, liberação de interleucinas 1 e 8, transmigração de neutrófilos para dentro da luz do cólon, necrose e degranulação de neutrófilos, ruptura da barreira epitelial e destruição da mucosa”.
O agente infeccioso que tem o mecanismo patogênico descrito é:
Provas
Menino, 21 dias de vida, tem lacrimejamento em olho direito, com formação de pouca secreção mucosa. A causa mais frequente desta manifestação clínica é
Provas
Menino, 2 meses de idade, a mãe refere que notou que há aumento da bolsa escrotal de um dia para o outro, mais intenso à direita. A bolsa tem tamanho pouco aumentado, e, à palpação, a consistência é cística, e o conteúdo é transiluminável.
O diagnóstico e as condutas indicados são
Provas
Menina, 6 meses de idade, não apresentou reação local e formação de cicatriz após vacinação contra tuberculose com BCG id, realizada na maternidade. A conduta indicada, no momento, é
Provas
A translocação BCR-ABL (cromossoma Philadelfia) corresponde à
Provas
Em relação à classificação de Gleason e ao consenso de 2019, o padrão cribriforme
Provas
Superfície externa bocelada, massa bem delimitada, endurecida em glândula salivar. Ao exame macroscópico, mostra-se esbranquiçada, brilhante e firme. Mais de 80% das vezes, acomete a parótida.
Essa descrição é a que melhor corresponde ao diagnóstico de
Provas
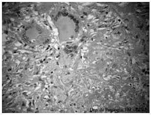
Considere a imagem:

A presente morfologia corresponde à
Provas
Caderno Container