Foram encontradas 708 questões.
Uma paciente, aos 7 anos de idade, apresentou quadro de febre reumática e cardite reumática leve. Passados 2 anos de acompanhamento, o novo controle ecocardiográfico não demonstrou qualquer lesão. A respeito da profilaxia secundária dessa paciente, é correto afirmar que
Provas
Dos seguintes achados ecocardiográficos, qual característica da valva mitral precisa estar presente para ser considerada como valvite subclínica?
Provas
No plantão do pronto-socorro, uma criança de 7 anos é atendida, proveniente do interior de Pernambuco. A mãe refere que há 2 semanas a menor apresentou dor de garganta e na ocasião foi colhido exame cujo resultado foi cultura de orofaringe positiva para Streptococcus beta-hemolítico do grupo A. A mãe relata que o quadro é recorrente e que exames anteriores do coração não apresentavam alterações. No seu exame físico, a menor apresenta-se afebril, com abafamento da primeira bulha e sopro sistólico em área mitral. Nesse caso, é correto afirmar que
Provas
Ao realizar o atendimento de um lactente de 9 meses com comunicação interventricular com repercussão hemodinâmica, o médico indica a profilaxia contra o Vírus Sincicial Respiratório (VSR). No entanto, os pais são resistentes à indicação de vacinas por não acreditarem em seu benefício. Com base na literatura, qual argumento o médico deve utilizar para justificar a indicação da profilaxia para o VSR?
Provas
Sobre a patologia ilustrada a seguir, é correto afirmar que

Provas
Sobre as anomalias coronarianas, é correto afirmar que
Provas
Sobre o truncus arterioso. A indicação mais comum de reoperação é
Provas
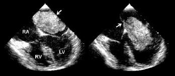
Sobre a patologia exibida nas seguintes imagens, é correto afirmar que

Provas
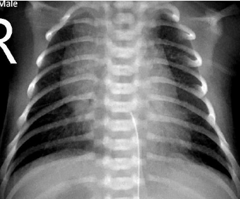
Lactente de 1 mês de vida chega para atendimento. Ao exame físico, está acianótico, não é auscultado sopro cardíaco e os pulsos são simétricos nos 4 membros. Considerando o seguinte raio-x, o que é mais esperado encontrar nesse paciente?

Provas
Você atende um paciente de 7 anos de idade com o diagnóstico de canal arterial com repercussão hemodinâmica em programação de fechamento. A mãe solicita liberação para competição de futebol na escola. Qual é sua conduta?
Provas
Caderno Container