Foram encontradas 80 questões.
Paciente de 63 anos, menopausada há 8 anos, que não realiza terapia de reposição hormonal, é encaminhada para realizar ultrassom por pequeno sangramento vaginal. Ao exame, os ovários não foram individualizados, o útero está com volume de 30 cm³ e o endométrio com espessura de 12 mm. Em relação à principal hipótese diagnóstica, assinale a alternativa correta.
Provas
Considerando uma paciente do sexo feminino, 33 anos, com Beta HCG positivo, analise a seguinte imagem do ultrassom e assinale a alternativa correta.

Provas
Paciente de 39 anos queixa-se de aumento do volume da mama direita, há 15 dias. Nega trauma, nega infecção ou cirurgia recente. Refere inclusão de implantes mamários de silicone há 4 anos. Ao ultrassom, nota-se seroma. Frente a esse achado, o prosseguimento deverá ser
Provas
Paciente masculino de 40 anos, assintomático, em exame de rotina, traz exame anterior com diagnóstico de rins em “ferradura”. Nesse caso, o que você espera encontrar?
Provas
A pediatra de plantão faz contato com um radiologista para discutir o caso de um lactente de 16 meses, apresentando choro e flexão dos membros inferiores em direção ao abdome e fezes na fralda com aspecto de “geleia de framboesa”. O radiologista prontamente atende, certo de que
Provas
Uma mãe leva ao pronto atendimento um lactente do sexo masculino, 3 meses de idade, primogênito, relatando irritabilidade, vômitos não biliosos e aumento do volume (distensão) do abdome superior. A pediatra faz contato com o radiologista para solicitar seu parecer e a indicação dos exames de imagem e acrescenta que palpa uma “massa” no quadrante superior direito do abdome. Nesse caso, o radiologista responsável
Provas
O fechamento precoce das suturas cranianas é conhecido como cranioestenose, a qual pode acontecer em suturas únicas ou múltiplas. Sabendo disso, relacione a sutura à deformidade encontrada se seu fechamento for precoce e assinale a alternativa com a sequência correta.
1. Sutura sagital.
2. Sutura metópica.
3. Sutura coronal (unilateral).
4. Suturas coronais.
5. Sutura Lambdoide.
A. Braquicefalia.
B. Plagiocefalia anterior.
C. Plagiocefalia posterior.
D. Trigonocefalia.
E. Escafocefalia.
Provas
Na avaliação por imagem do acidente vascular encefálico, é imprescindível o conhecimento da anatomia vascular arterial do encéfalo. Sobre esse assunto, é correto afirmar que
Provas
A ressonância magnética é o exame de escolha para a avaliação das alterações da esclerose múltipla no sistema nervoso central. Acerca do tema, assinale a alternativa correta.
Provas
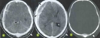
Paciente de 26 anos foi vítima de acidente automobilístico com traumatismo cranioencefálico. Nas imagens tomográficas a seguir, pode-se observar

Provas
Caderno Container