Foram encontradas 20 questões.
Um homem negro, hipertenso, dislipidêmico, 67 anos de
idade, tem história de ganho de peso a partir dos 40 anos de
idade. Nos últimos 2 anos, relata cansaço progressivo, insônia,
irritabilidade, queda de libido, noctúria, ronco excessivo, edema
leve em membros inferiores e piora da qualidade da ereção. No
exame físico: ginecomastia bilateral grau 2 e IMC 37 Kg/m2.
Exames laboratoriais: Testosterona total: 255 ng/dℓ (dosada as
11:30h, sem jejum). A conduta mais correta, nesse momento, é:
Provas
Questão presente nas seguintes provas
Um menino, 5 anos de idade, sem baixa estatura, apresenta
VC (velocidade de crescimento) de 3 DP abaixo da média ao
longo do último ano. Foi submetido a teste da clonidina com 0,1
mg/m2 de superfície corporal e dosado GH conforme ao longo do
tempo com os seguintes resultados: 0’: 4,8 ng/mL; 30’: 2,8 ng/mL;
60’: 2,5 ng/mL; 90’: 3,2 ng/mL.
Diante desse cenário, pode-se caracterizar uma:
Provas
Questão presente nas seguintes provas
Uma mulher, 43 anos, está em tratamento medicamentoso
para Doença de Graves há cerca de 4 meses. Deu entrada no
pronto socorro por febre com calafrios, odinofagia e rouquidão de
início há 2 (dois) dias. No exame físico, foram detectadas úlceras
na mucosa jugal e no palato bilateralmente. A conduta mais
correta nesse momento é:
Provas
Questão presente nas seguintes provas
Devem rastrear hipertensão secundária, devido ao
hiperaldosteronismo primário, pacientes hipertensos com:
Provas
Questão presente nas seguintes provas
Um paciente diabético tipo 1 irá iniciar insulinoterapia
plena esquema basal-bólus e está com dúvidas quanto ao
armazenamento das canetas de insulina. O mais correto é orientar
o paciente que se deve conservá-las:
Provas
Questão presente nas seguintes provas
Uma pessoa que vive com HIV (PVHIV), sexo feminino, 50
anos de idade, iniciou há 2 (dois) anos dor progressiva em porção
lateroproximal de coxa direita contínua, que piorava ao deambular.
Após 1 (um) ano, iniciou dorsalgia à direita com irradiação para o
sacro, em peso, contínua, com piora ao movimentar-se, além de
dor nas costelas bilateralmente. Está em uso contínuo e regular
de TARV com efavireinz, tenofovir e lamivudina há 8 (oito) anos.
Exames: CTX (pg/mL): 1,040; 25OH vitamina D (ng/mL): 8;
Fosfatase alcalina(U/l): 344; FA óssea(U/l); Fósforo (mg/dL): 1,7;
Cálcio (mg/dL): 9,3 Cr (mg/dL): 2,7. Densitometria Hologic: CL
(L1L4): 0,527; T: –4,7; Z: –4,0; CF: 0,263; T: –5,3;Z: –4,6.
A principal hipótese diagnóstica e a etiologia mais provável da
doença óssea da paciente são respectivamente:
Provas
Questão presente nas seguintes provas
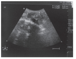
Uma mulher de 53 anos, eutireoidea, tem queixa de
discreto aumento do volume cervical há 1 ano. Realizou uma
ultrassonografia de tireoide que evidenciou nódulo medindo 3,5 ×
2,7 cm, conforme evidenciado na imagem.
Acerca do TIRADS e da PAAF, deve-se considerar, respectivamente:
Acerca do TIRADS e da PAAF, deve-se considerar, respectivamente:
Provas
Questão presente nas seguintes provas
Um homem tem 18 anos, com 2 episódios prévios de
pancreatite aguda. No exame físico, foram observados xantomas
eruptivos nos braços, conforme imagem a seguir.
Exames laboratoriais: amilase 1300 U/l (VR: 25 U/L a 125 U/L); Triglicerídeos: 5.700 mg/dl; Colesterol total: 205 mg/dl; HDLC: 15 mg/dl.
A causa mais provável da hipertrigliceridemia do paciente seria a dislipidemia familiar tipo:
Exames laboratoriais: amilase 1300 U/l (VR: 25 U/L a 125 U/L); Triglicerídeos: 5.700 mg/dl; Colesterol total: 205 mg/dl; HDLC: 15 mg/dl.
A causa mais provável da hipertrigliceridemia do paciente seria a dislipidemia familiar tipo:
Provas
Questão presente nas seguintes provas
Uma mulher de 48 anos relata ganho de peso desde os 45
anos, além de alterações de humor, diminuição da libido, insônia
e dores articulares difusas e fogachos há 1 ano. Relata ciclos
menstruais presentes, porém chega a ficar até 2 meses sem
menstruar. Nega cirurgias prévias. Tem uma prima materna de
segundo grau com câncer de mama curado. Nesse caso, quanto
à terapia de reposição hormonal, deve-se:
Provas
Questão presente nas seguintes provas
Observe-se a imagem a seguir:

Um adolescente, 17 anos, do sexo masculino, tem história de ganho de peso a partir da idade pré-escolar. A mãe e o pai são obesos, o pai com DM2 e a mãe hipertensa, submetida à cirurgia bariátrica há 2 anos. O IMC dele é 49. Quanto às lesões de pele na região cervical evidenciadas no paciente, pode-se afirmar que se tratam de:
Provas
Questão presente nas seguintes provas
Cadernos
Caderno Container