Foram encontradas 1.592 questões.
“A síndrome de Lemierre é uma doença rara, mais comum em jovens. Inicia-se com faringite e propaga-se até a veia
jugular interna, promovendo uma fonte de bacteremia contínua e êmbolos sépticos pulmonares. Manifestações clínicas
incluem febre, alterações respiratórias e massa cervical.” Qual o agente etiológico mais frequentemente associado à
síndrome de Lemierre?
Provas
Questão presente nas seguintes provas
São inúmeros os fármacos utilizados na prática clínica que tem sido implicados na etiopatogenia de lesões hepáticas,
cuja tradução mais frequente se refere a alterações bioquímicas, transitórias ou persistentes. Os hepatócitos (lesão
hepatocelular), o fluxo biliar (lesão colestática) e as estruturas vasculares podem ser acometidos em combinações
variáveis. São drogas que têm como principal padrão de acometimento a lesão hepatocelular, EXCETO:
Provas
Questão presente nas seguintes provas
O ferro participa de vários processos metabólicos em nosso organismo e, consequentemente, são várias as manifestações
de sua deficiência. A gravidade e as repercussões da deficiência de ferro dependem da intensidade da deficiência de
ferro, da faixa etária e do estágio de vida. São condições que conferem ao recém-nascido maior risco para deficiência de
ferro, EXCETO:
Provas
Questão presente nas seguintes provas
São alternativas que indicam intervenção cirúrgica nas lesões de pescoço, EXCETO:
Provas
Questão presente nas seguintes provas
Sobre a infecção pelo Haemophilus influenzae, é INCORRETO afirmar que
Provas
Questão presente nas seguintes provas
A hemorragia subaracnoide (HSA) é um evento clínico grave que se caracteriza por ruptura e sangramento abrupto,
ficando o sangue, geralmente, limitado ao espaço do líquido cefalorraquidiano (LCR), compreendido entre as membranas pia-máter e aracnoide. Dentre as etiologias, o trauma é a causa mais comum de HSA. Na população adulta,
quais são as duas principais causas NÃO traumáticas de hemorragia subaracnoide?
Provas
Questão presente nas seguintes provas
Em relação às considerações importantes nas reavaliações subsequentes da dor, assinale a afirmativa INCORRETA.
Provas
Questão presente nas seguintes provas
Os tumores do sistema nervoso central (SNC) são o segundo tipo de neoplasia mais comum da infância, perdendo
apenas para as leucemias. Qual o tumor de SNC mais frequente na infância?
Provas
Questão presente nas seguintes provas
Sabe-se que mais de 50% dos pacientes com câncer colorretal apresentam um componente familiar e 3% dos casos
desenvolverão a síndrome de Lynch. A identificação dos pacientes com risco para desenvolvimento da síndrome de
Lynch pode ser feita através da utilização dos critérios de Amsterdam e das diretrizes Bethesda (Bethesda guidelines).
Assinale alternativa que NÃO apresenta um dos critérios de Amsterdam I e II.
Provas
Questão presente nas seguintes provas
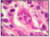
“Paciente, sexo masculino, 12 anos, há 2 meses iniciou quadro de massa cervical à direita. Relata alguns episódios de febre intercalados por períodos assintomáticos nos últimos meses. Ao exame físico, detecta-se uma massa em cadeia cervical superior direita, medindo 4 x 4 cm.” Ao biopsiar a lesão, visualizou-se a imagem a seguir. Diante do exposto, o diagnóstico mais provável para o caso é

Provas
Questão presente nas seguintes provas
Cadernos
Caderno Container