Foram encontradas 1.592 questões.
Provas
Provas
Provas
Provas
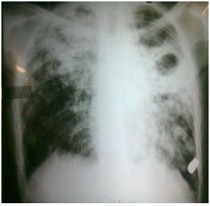
O atual sistema de classificação dos CDC para adolescentes e adultos infectados pelo HIV relaciona os indivíduos com base nas afecções clínicas associadas à infecção pelo HIV e contagem de linfócitos T CD4+. A categoria A consiste em infecção assintomática, aguda ou linfadenopatia generalizada progressiva, a B em estados sintomáticos não A e nem C, e a categoria C que inclui as doenças indicadoras de AIDS. Analise a seguir a radiografia de um paciente com células CD4+ menor que 200/ul.

São afecções pulmonares indicadoras de AIDS, EXCETO:
Provas
Provas
Provas
Provas
Provas
Acerca das principais indicações para a realização de enteroscopia, analise.
I. Sangramento grastrointestinal obscuro.
II. Doença inflamatória intestinal.
III. Poliposes.
IV. Pacientes com cólon difícil.
V. Colangiopancreatografia endoscópica em pacientes com reconstruções gástricas.
Estão corretas apenas as alternativas
Provas
Caderno Container