Foram encontradas 4.908 questões.
A esofagite eosinofílica (EEo) é uma doença crônica, imune/antígeno-mediada, descrita pela primeira vez em 1978. Previamente era considerada uma condição rara, porém nos últimos anos houve um aumento considerável dos casos publicados em adultos e crianças. A respeito da EEO, assinale a alternativa incorreta.
Provas
A doença do refluxo gastroesofágico (DRGE) é notável por sua alta prevalência, variedade de apresentações clínicas, morbidade pouco reconhecida e consequências econômicas substanciais. A endoscopia digestiva alta pode ser normal em pacientes com DRGE ou pode haver evidência de esofagite em graus variados. A classificação de Los Angeles classifica a gravidade da esofagite pela extensão da anormalidade da mucosa. A respeito da classificação de Los Angeles, assinale a alternativa correta.
Provas
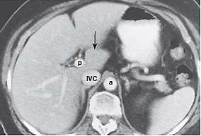
O exame de tomografia computadorizada de abdome com contraste é muito utilizado para a identificação de estruturas e delimitação de lesões, sendo, muitas vezes, essencial no diagnóstico de determinadas patologias. Segundo a segmentação hepática proposta por Couinaud (1957), assinale a alternativa que apresenta o segmento hepático que está sendo apontado pela seta preta na figura a seguir.

Tomografia computadorizada com contraste do fígado. Veia
Assinale a alternativa correta.
Provas
Assinale alternativa correta da indicação de tratamento do curativo estéril recortável composto internamente por no mínimo carboximetilcelulose (hidrocolóide placa).
Provas
Sobre as funções do pericárdico, analise as afirmativas abaixo.
I. Proteção.
II. Mantém o coração no mediastino.
III. Evita estiramento excessivo.
IV. Plasticidade muscular.
Estão corretas as afirmativas:
Provas
A arquitetura interna do fígado é composta por uma série de segmentos que se combinam para formar setores separados por cisuras que contêm as veias hepáticas, conforme descrito por Couinaud (1957). De acordo com Couinaud, assinale a alternativa que apresenta os segmentos hepáticos do fígado direito.
Provas
A contractilidade cardíaca se deve a existência de um sistema próprio responsável por gerar e conduzir estímulo elétrico até ao miocárdio (músculo cardíaco), fazendo com que este contraia. Este sistema é formado pelos seguintes elementos, exceto:
Provas
Diante de uma urgência hipercalêmica (K+> 6,5 mEq/L ou presença de sintomas típicos ou alterações no ECG), deve-se iniciar o mais breve possível a infusão de com o objetivo de proteger a membrana celular das alterações no seu potencial elétrico.
Assinale a alternativa que preencha corretamente a lacuna.
Provas
A terapia definitiva necessária aos pacientes com Infarto Agudo do Miocárdio com Supradesnivelamento de ST (preferencialmente a menos de 12h) é a reperfusão, e podemos escolher entre a angioplastia primária ou os fibrinolíticos. A angioplastia sempre deve ser a primeira escolha, quando o tempo entre o diagnóstico e a intervenção (tempo porta-balão) for inferior a .
Assinale a alternativa que preencha corretamente a lacuna.
Provas
O tronco celíaco é uma artéria curta e espessa que se origina da aorta logo abaixo do hiato aórtico do diafragma e estende-se horizontalmente e para frente acima do pâncreas. Assinale a alternativa que apresenta os ramos emitidos pelo tronco celíaco.
Provas
Caderno Container