Magna Concursos

Foram encontradas 60 questões.

3028046 Ano: 2023
Disciplina: Medicina
Banca: IBFC
Orgão: EBSERH
Provas:

Assinale a alternativa que apresenta qual dos seguintes tumores cerebrais pediátricos é caracterizado como um tumor benigno, de crescimento lento, geralmente localizado na fossa posterior e frequentemente associado à doença de von Hippel-Lindau.

 

Provas

Questão presente nas seguintes provas
3028044 Ano: 2023
Disciplina: Medicina
Banca: IBFC
Orgão: EBSERH
Provas:

Em relação aos achados radiológicos, assinale a alternativa que apresenta qual das seguintes opções diferencia de forma mais característica um acidente vascular cerebral (AVC) hemorrágico devido à hipertensão arterial sistêmica da angiopatia amiloide.

 

Provas

Questão presente nas seguintes provas
3028043 Ano: 2023
Disciplina: Medicina
Banca: IBFC
Orgão: EBSERH
Provas:

Em relação aos achados de neurorradiologia do AVC isquêmico na tomografia computadorizada (TC) de crânio e a utilização da escala ASPECTS (Alberta Stroke Program Early CT Score), assinale a alternativa correta.

 

Provas

Questão presente nas seguintes provas
3028041 Ano: 2023
Disciplina: Medicina
Banca: IBFC
Orgão: EBSERH
Provas:

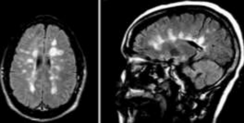
Assinale a alternativa que descreve corretamente o sinal radiológico abaixo e o possível diagnóstico a ele associado.

Enunciado 3028041-1

 

Provas

Questão presente nas seguintes provas
3028039 Ano: 2023
Disciplina: Medicina
Banca: IBFC
Orgão: EBSERH
Provas:

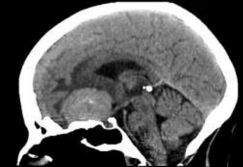
Na imagem abaixo é possível identificar uma lesão expansiva intracraniana sendo a causa provável um meningioma.

Enunciado 3028039-1

Assinale a alternativa correta acerca da classificação topográfica desta lesão.

 

Provas

Questão presente nas seguintes provas
3028038 Ano: 2023
Disciplina: Medicina
Banca: IBFC
Orgão: EBSERH
Provas:

Sobre as alterações radiológicas da coluna vertebral nos pacientes com artrite reumatóide, assinale a alternativa incorreta.

 

Provas

Questão presente nas seguintes provas
3028033 Ano: 2023
Disciplina: Medicina
Banca: IBFC
Orgão: EBSERH
Provas:

Sobre as hérnias de disco lombares, a compressão causada por um mesmo disco vertebral pode resultar apresentações clínicas diferentes, como sintomatologia condizente com a raiz emergente no mesmo nível ou no nível abaixo. Assinale a alternativa que apresenta a explicação anatômica para este fato.

 

Provas

Questão presente nas seguintes provas
3028030 Ano: 2023
Disciplina: Medicina
Banca: IBFC
Orgão: EBSERH
Provas:

Assinale a alternativa que melhor explica a razão anatômica de as hérnias de disco vertebrais serem mais frequentemente laterais do que centrais. a) Isso ocorre devid

 

Provas

Questão presente nas seguintes provas
3028028 Ano: 2023
Disciplina: Medicina
Banca: IBFC
Orgão: EBSERH
Provas:

Sobre os aspectos radiológicos da doença de Pott (tuberculose espinhal), assinale a alternativa correta.

 

Provas

Questão presente nas seguintes provas
3028019 Ano: 2023
Disciplina: Medicina
Banca: IBFC
Orgão: EBSERH
Provas:

Sobre os aspectos radiológicos do meduloblastoma em exames de imagem, assinale a alternativa correta.

 

Provas

Questão presente nas seguintes provas