Foram encontradas 60 questões.
Sobre a Síndrome de Takotsubo que é uma nova síndrome cardíaca, caracteriza-se por disfunção transitória do ventrículo esquerdo com dor torácica, analise as afirmativas abaixo.
I. Acomete mais comumente pessoas do sexo masculino após os 60 anos de idade e é também conhecida como síndrome do coração partido, pois a presença de “triggers” emocionais é muito comum na história clínica.
II. A forma mais comum apresentada é a composta de síndrome coronariana aguda, com dor precordial, acompanhada ou não de sintomas como dispneia, palpitações e síncope. Pode-se apresentar como uma emergência cardiológica, com edema agudo de pulmão.
III. O risco de recorrência da patologia é alto, chegando a quase 10%, e não há drogas preventivas comprovadas.
Estão corretas as afirmativas:
Provas
Durante uma avaliação ecocardiográfica de rotina, obteve-se o seguinte traçado da valva mitral, figura abaixo. De acordo com a doença encontrada, assinale a alternativa correta.

Provas
Quanto aos achados mais comuns ecocardiográficos na Doença de Chagas, assinale a alternativa correta.
( ) As alterações ecocardiográficas dessa doença podem ser indistinguíveis das encontradas na cardiopatia isquêmica
( ) Pacientes com a forma dilatada podem apresentar imagens sugestivas de acentuadas trabeculações endocárdicas do VE, dificilmente vistas em pacientes não chagásicos, simulando miocárdio não compactado, mas apresentando relação de até 6:1 entre as trabeculações e a espessura do miocárdio normal
( ) As alterações segmentares ocorrem em uma incidência de até 74%, e acomete, principalmente, a parede posterior do ventrículo esquerdo, sendo o septo interventricular e as paredes anterior e lateral acometidos com menor frequência
( ) A região apical do VE pode ser atingida, apresentando hipocinesia ou ainda dilatações aneurismáticas, e trombos intracavitários são achados frequentes
Assinale a alternativa que apresenta a sequência correta de cima para baixo.
Provas
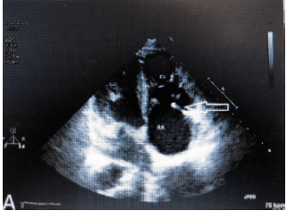
Paciente com história de sopro cardíaco desde o nascimento veio para a realização de ecocardiograma de rotina, e as imagens adquiridas mostravam uma suposta comunicação interatrial do tipo Ostium Secundum. Assinale a alternativa que apresenta qual seria o melhor plano para a melhor visualização do defeito.
Provas
A Displasia Arritmogênica do Ventrículo Direito é uma condição rara na qual o miocárdio normal da parede livre do VD é substituído por tecido adiposo e/ou conteúdo colágeno. Sobre essa doença, assinale a alternativa correta.
Provas
Paciente de 40 anos do sexo feminino, deu entrada na emergência referindo quadro de diarreia volumosa, confusão mental e flushing cutâneo. Relata ainda, perda de peso e intensificação dos sintomas que já duram mais de 3 meses. Ao exame físico, chamava atenção um sopro em foco tricúspide e sibilos pulmonares. Foi estabilizada e encaminhada ao laboratório de ecocardiografia que adquiriu a seguinte imagem ao exame transtorácico, compatível com achados ecocardiográficos da síndrome carcinoide.

Sobre a síndrome carcinoide, analise as afirmativas abaixo.
I. O diagnóstico de Síndrome carcinoide tem como base achados clínicos típicos e é confirmado pela dosagem de ácido 5-hidroxindolacético (5-HIAA), um produto final do metabolismo da serotonina, em urina coletada em 24 horas
II. O ecocardiograma nessa patologia geralmente mostra acometimento mitral concomitante em 20% dos casos
III. A fibrilação atrial está presente em menos de 20% dos casos e foram registradas apresentações graves com relatos de morte súbita
IV. Patologia frequentemente associada a tumores secretores de Dopamina.
Estão corretas as afirmativas:
Provas
No acometimento das câmaras direitas, pode haver ascite volumosa, hepatomegalia e elevadas pressões de enchimento. E, apresenta um achado característico ao ecocardiograma transtorácico visto na imagem abaixo.

Sobre ele, assinale a alternativa correta.
Provas
A cardiotoxicidade relacionada aos tratamentos oncológicos deve ser entendida como qualquer alteração do sistema cardiovascular induzida pelo tratamento antineoplásico. Embora a cardiomiopatia induzida seja a alteração mais frequentemente encontrada, outras possíveis alterações como por exemplo, hipertensão, arritmias e alterações metabólicas podem ser indícios de cardiotoxicidade. Baseado no texto acima, assinale a alternativa correta.
Provas
Paciente do sexo masculino de 75 anos, iniciou há cinco anos quadro de episódios recorrentes de dispneia aos esforços e edema de membros inferiores necessitando frequentemente buscar atendimento médico de urgência, não é portador de doença hipertensiva nem de outras comorbidades. Na última visita ao setor de urgência, apresentou-se com quadro clínico de insuficiência cardíaca biventricular e edema de extremidades. À investigação com exames complementares foi realizado ECG que evidenciou complexos QRS de baixa voltagem.

Assinale a alternativa correta que contém o provável diagnóstico, de acordo com os dados acima e a imagem ecocardiográfica abaixo.
Provas
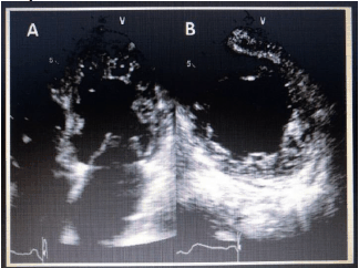
De acordo com a patologia presente na imagem adquirida abaixo, assinale a alternativa correta.

Provas
Caderno Container