Foram encontradas 2.975 questões.
Apesar da melhora no atendimento médico no campo materno-infantil, ainda temos uma porcentagem considerável de quadros sequelares do tipo Encefalopatia Crônica não Progressiva (Paralisia.Cerebral). Analise as informações abaixo.
I. Pode apresentar quadro clínico leve, confundido às vezes com monoparesia.
II. Deve ser um diagnóstico aventado, após a exclusão de quadros progressivos, como erros inatos do metabolismo.
III. Comum comprometimento de crescimento encefálico, levando a microcrania e cranioestenose secundária.
IV. Leucomalácea periventricular
A. Atetose
B. Forma hemiparética
C. Diplegia crural
D. Forma tetraparética
A associação respectivamente correta entre números e letras é:
Provas
Uma criança de 2 anos após acidente automobilístico, apresentou fratura craniana parietal. Ficou em observação e teve alta por evolução favorável em 24h. Dias depois retorna com queixa da mãe que no local da fratura a cabeça da criança está estranha, parecendo mais amolecida a palpação e com os ossinhos mais distantes. Esta descrição leva um neuropediatra a pensar em:
Provas
Uma criança chega a um Pronto Socorro apresentando quadro de instalação aguda de não conseguir movimentar as pernas. Diante desta queixa, são diagnósticos possíveis, EXCETO:
Provas
Um dos quadros epilépticos idade dependente benignos da infância é a epilepsia com ponta-onda occipitais. Entre as alternativas abaixo a incorreta a respeito deste quadro é:
Provas
Um lactente, do sexo feminino, é levado ao consultório de um neuropediatra por apresentar “sustinhos” várias vezes ao dia. No exame de fundo de olho nota-se uma mancha vermelha na retina. No eletroencefalograma notamos uma hipsarritmia assíncrone. Há queixa de atraso do desenvolvimento neuropsicomotor, com piora após o início dos “sustinhos”. Dentre os diferenciais etiológicos deveria ser aventado, principalmente, uma encefalopatia epiléptica, que seria:
Provas
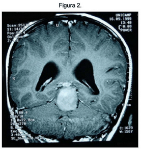
Paciente Feminina de 9 anos. Desde os 5 anos tem epilepsia e diagnóstico de tumor cerebral. Feita biópsia, material inconclusivo. Sete meses após a cirurgia continuava com piora progressiva da cefaléia e crises epilépticas esporádicas. Atualmente apresenta déficit cognitivo e hipoacusia E. As imagens da ressonância magnética e o laudo estão apresentados nas Figuras 1 e 2, e no Texto 1, respectivamente.

Ressonância Magnética de Crânio. Cortes Axiais T1 com contraste e T2; Corte Sagital com contrate.
Fonte: UNICAMP. Anatomopatológico.
Disponível em: http://anatpat.unicamp.br'radastropilo2.html.Acessado em 21/09/2013.

Corte Coronal T1 com contraste. Fonte: UNICAMP. Anatomopatológico.
Disponível em: http://anatpat.unicamp.br'radastropilo2.html.Acessado em 21/09/2013.
Texto 1.
O Laudo da Ressonância Magnética: Os cortes axiais mostram lesão bem delimitada e aproximadamente esférica no mesencéfalo, ocupando quase todo o tegmento e a placa quadrigêmea, com obliteração do aqueduto de Sylvius e hidrocefalia supratentorial (afetando o III ventrículo e os laterais). A lesão tem aspecto expansivo e comprime o vermis superior.
Nos cortes pesados em T2 a lesão mostra-se predominantemente homogênea e com hipersinal, indicando tratar-se de uma lesão hidratada. Não há componente cístico. Os cortes sagitais, T1 com contraste mostram Tumor Sólido, bem delimitado, originado na placa quadrigêmea; comprime anteriormente o mesencéfalo e posteriormente a porção anterior do vermis. Impregna-se de forma difusa e levemente heterogênea. O halo de liquor em volta da lesão na cisterna cerebelar superior demonstra que o tumor provém do mesencéfalo. Os cortes coronais T1 em contraste mostram que o tumor é originado na placa quadrigêmea deforma o III ventrículo (Situa-se no nível da incisura do tentório e eleva a pineal, mas não a invade).
Diante da história clínica e dos achados no exame de imagem, a hipótese diagnóstica mais provável é:
Provas
Sobre o tratamento dos gliomas analise as afirmativas abaixo e assinale a alternativa correta.
I. O uso de ressonância magnética (RM) intraoperatória foi validado como método de otimização da extensão da resseção tumoral.
II. ARM é método adequado para avaliação pós-operatória da adequação da resseção.
III. A adequada ressecção se associa à melhora neurológica e a menor dependência de corticosteroides.
Estão corretas as afirmativas:
Provas
Considerando a epidemiologia dos gliomas, é incorreto afirmar que
Provas
O glioblastoma multiforme é um astrocitoma grau . Assinale a alternativa que preenche corretamente a lacuna.
Provas
Existe associação ambiental conhecida entre o desenvolvimento de gliomas e a exposição ao . Assinale a alternativa que preenche corretamente a lacuna.
Provas
Caderno Container