Magna Concursos

Foram encontradas 2.178 questões.

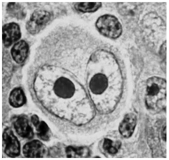
Uma paciente de 21 anos de idade desenvolve adenomegalias cervicais bilaterais, com gânglios indolores e de consistência elástica. Além disso, ela vem apresentando febrícula diária, prurido e sudorese. Foi feita biópsia de um gânglio, cujo aspecto histopatológico está mostrado a seguir.


Enunciado 4791621-1


O dianóstico dessa criança é
 

Provas

Questão presente nas seguintes provas

Um paciente de 58 anos de idade é trazida pela mãe para consulta com hematologista que lhe foi indicada após o resultado de um hemograma. O hemograma mostrou anemia microcítica e hipocrômica (VCM: 75 fL, CHCM: 26, dosagem de hemoglobina: 9,5 g/dL). A contagem relativa de reticulócito era de 0,8%.

O exame de urina era normal e a criança não tinha história de diarreia. Sua alimentação era saudável e ela apresentava peso normal. Recentemente, havia feito três exames parasitológicos de fezes, todos negativos para a presença de helmintos e protozoários. A dosagem de ferro era de 35 µg/dL e a de ferritina, de 10 ng/mL.

O exame a ser solicitado para tentar identificar a etiologia dessa anemia ferropriva é

 

Provas

Questão presente nas seguintes provas
Um paciente de 14 anos de idade, portador da doença de von Willebrand do tipo 3, apresenta epistaxes frequentes e volumosas.

O tratamento de primeira linha dessas hemorragias consiste em
 

Provas

Questão presente nas seguintes provas
O tratamento das hemorragias em pacientes com hemofilia B grave deve ser feito com
 

Provas

Questão presente nas seguintes provas
Um paciente de 18 anos de idade, portador de talassemia beta major, apresentou, ao final de uma transfusão de concentrado de hemácias, reação alérgica moderada caracterizada por tosse, broncoespasmo e prurido, apesar de ter sido pré-medicado com anti-histamínico oral.
Na transfusão anterior, feita 3 semanas antes, também havia apresentado reação alérgica leve, com rash cutâneo e prurido.

Na transfusão subsequente será necessário
 

Provas

Questão presente nas seguintes provas
Uma adolescente de 16 anos de idade, com anemia microcítica crônica atribuída à falta de ferro, foi encaminhada para avaliação de hematologista, que suspeitou de microesferocitose hereditária.

A confirmação diagnóstica e o tratamento definitivo dessa condição são feitos, respectivamente, com
 

Provas

Questão presente nas seguintes provas
Um recém-nascido prematuro (peso: 900 gramas) veio transferido da maternidade onde nasceu para uma UTI neonatal. Apresenta anemia importante, necessitando de transfusão de concentrado de hemácias urgente. A amostra do sangue de cordão umbilical não está disponível, e a equipe de saúde está com dificuldades para puncionar a veia visando à coleta da amostra de sangue para os exames pré-transfusionais.

Como a transfusão não pode tardar, a conduta adequada para agilizar o processo é
 

Provas

Questão presente nas seguintes provas
Um menino de 6 anos apresenta febre, palidez e petéquias. O hemograma mostra leucocitose com 65.000 leucócitos/µL, com 80% de blastos, anemia e plaquetopenia. A biópsia de medula óssea e a imunofenotipagem confirmam o diagnóstico de leucemia linfoblástica aguda (LLA). O paciente não apresenta síndrome de Down, nem tem outras alterações relevantes no seu exame físico.

O tratamento desse quadro clínico deve ser feito com
 

Provas

Questão presente nas seguintes provas
Uma criança de 7 anos de idade, sexo feminino, portadora de leucemia, é hospitalizada para tratamento de consolidação da doença, que incluiu metotrexato, 6-mercaptopurina, vincristina, L-asparaginase e prednisona. A paciente piorou da anemia e surgiu macrocitose, com baixos níveis séricos de folato. Para evitar esse tipo de complicação, a recomendação é
 

Provas

Questão presente nas seguintes provas
Uma criança de 10 anos de idade, do grupo O positivo, vai ser submetida a um transplante de fígado emergencial, e a equipe médica solicitou a reserva de 4 bolsas de concentrado de hemácias, 1 dose de concentrado de plaquetas e 3 bolsas de plasma fresco congelado.
O serviço de hemoterapia informou que não dispõe de todos os hemocomponentes solicitados do mesmo grupo sanguíneo do paciente.

São alternativas aceitáveis e sem risco de incompatibilidade com o paciente:
 

Provas

Questão presente nas seguintes provas