Foram encontradas 300 questões.
Os tumores malignos mais incidentes no Brasil, em ordem decrescente, são os tumores de
Provas
A entidade representativa dos entes estaduais e do Distrito Federal na comissão tripartite do Sistema Único de Saúde para tratar matérias referentes à saúde, é o
Provas
A incidência de Caldwell é mais apropriada para o estudo radiográfico de
Provas
No processo de manipulação farmacêutica, a etapa de pesagem é uma das operações básicas essenciais. Essa etapa deve ser realizada com o máximo de precisão para garantir a eficácia, segurança e qualidade das preparações magistrais.
Um princípio fundamental relacionado à pesagem em farmácias de manipulação é
Provas
Átomos que têm o mesmo número atômico e diferentes números de massa são
Provas
As formas farmacêuticas são desenvolvidas para otimizar a estabilidade, a segurança e a eficácia dos medicamentos, considerando suas propriedades físico-químicas e a via de administração.
Com base nesses aspectos, assinale a afirmativa correta.
Provas
Os efeitos adversos da radiação de natureza aleatória que aumentam a probabilidade de pacientes desenvolverem tumores, são conhecidos como
Provas
A legislação nacional (RDC Anvisa nº 67, de 8 de outubro de 2007) regulamenta as Boas Práticas de Manipulação em Farmácias (BPMF) e estabelece diferentes grupos de atividades realizadas pelas farmácias, conforme a natureza dos insumos manipulados e a complexidade do processo.
Entre os grupos de atividades descritos na legislação, identifique a opção que corretamente associa o grupo ao seu respectivo foco de manipulação e características, considerando os requisitos técnicos e normativos previstos para cada categoria.
Provas
A Monografia de Água Purificada (7ª edição da Farmacopeia Brasileira, 2024) estabelece os requisitos para a pureza e qualidade da água utilizada na manipulação de medicamentos.
Com base nesses critérios, assinale a opção que apresenta elementos de erro nos parâmetros da qualidade avaliados para a água purificada.
Provas
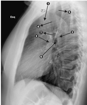
Observe a figura.

Identifique as estruturas assinaladas por números e setas.
A sequência correta, na ordem apresentada, é:
Provas
Caderno Container