Foram encontradas 300 questões.
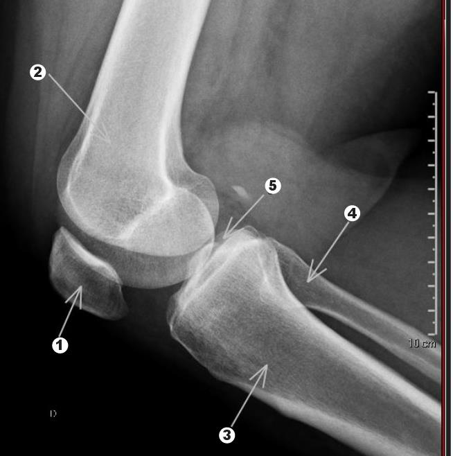
Observe a figura a seguir.

Identifique as estruturas assinaladas por números e setas.
A sequência correta, de 1 a 5, é:
Provas
O descarte de resíduos biológicos em laboratórios de histologia é um assunto sempre explorado e envolve a necessidade de inspeções periódicas.
Em relação a esse assunto, é correto afirmar que
Provas
Para um paciente com diabetes mellitus, a prescrição médica para a administração de insulina é de 14 unidades de insulina regular (R) e 18 unidades de insulina NPH, ambas a serem administradas na mesma seringa, antes do café da manhã.
Considerando as boas práticas de preparo e administração de insulina, as etapas que descrevem corretamente o procedimento para a aspiração das doses são:
Provas
Entre os fatores que afetam o contraste da imagem em ressonância magnética relacionados a seguir, assinale o único classificado como parâmetro extrínseco.
Provas
Diafanização é a substituição do álcool, após a desidratação, por um outro produto com o qual a parafina tenha afinidade.
Em relação à diafanização, é correto afirmar que
Provas
A Pressão Arterial (PA) refere-se à pressão exercida pelo sangue contra as paredes das artérias.
Em relação ao tema, avalie as afirmativas a seguir e assinale (V) para a verdadeira e (F) para a falsa.
( ) A pressão sistólica é a pressão mais alta gerada pelo coração, durante a contração do ventrículo esquerdo.
( ) A pressão diastólica é a pressão mais baixa gerada pelo coração, durante o relaxamento do ventrículo esquerdo.
( ) A pressão sistólica é a pressão mais baixa gerada pelo coração, durante a contração do ventrículo esquerdo.
( ) A pressão diastólica é a pressão mais alta gerada pelo coração, durante o relaxamento do ventrículo esquerdo.
As afirmativas são, respectivamente,
Provas
Durante as etapas do procedimento de exames histológicos podem ocorrer fatores que interferem na qualidade das etapas realizadas.
Em relação ao tema, avalie se as afirmativas a seguir estão corretas.
I. O uso de diversos tipos de navalhas não mantém um padrão de corte no laboratório.
II. O tempo de imersão das lâminas em corante interfere na qualidade de leitura.
III. O uso de mordente impacta a qualidade da coloração.
Está correto apenas o que se afirma em
Provas
O bom funcionamento e longevidade dos equipamentos e instrumentais depende de cuidados adequados com a conservação e manutenção dos mesmos. Com relação ao tema, avalie as afirmativas a seguir.
I. Ler o manual de cada equipamento e consultar um técnico de confiança são ações importantes para o bom uso dos equipamentos.
II. Equipamentos como ultrassom devem ser instalados sem aterramento para não dar choque nos pacientes.
III. Equipamentos que ficarão um longo período sem uso devem ser preferencialmente retirados da tomada.
Está correto o que se afirma em
Provas
As dermatoses ocupacionais são alterações na pele, mucosa e anexos relacionadas ao ambiente e processos de trabalho. Sobre as características e a vigilância das dermatoses ocupacionais, avalie as afirmativas a seguir e assinale (V) para a verdadeira e (F) para a falsa.
( ) As dermatoses ocupacionais são exclusivamente causadas por agentes químicos presentes no ambiente de trabalho.
( ) A notificação de dermatoses ocupacionais no Sinan (Sistema de Informações de Agravos de Notificação) deve ser realizada somente em casos graves que causem incapacidade para o trabalho.
( ) As manifestações clínicas das dermatoses ocupacionais se limitam a eritema e edema, sem apresentar complicações secundárias.
( ) As dermatoses ocupacionais podem ocorrer quando as atividades profissionais desenvolvidas, as condições de trabalho, o uso inadequado ou a falta de Equipamentos de Proteção Individual (EPI) expõem o trabalhador a agentes químicos, físicos, biológicos ou psicossociais.
As afirmativas são, respectivamente,
Provas
O osso escafoide da mão esquerda articula-se com a(o)
Provas
Caderno Container