Magna Concursos

Foram encontradas 2.179 questões.

3787087 Ano: 2024
Disciplina: Medicina
Banca: FGV
Orgão: ENARE

Uma jovem de 19 anos, altura 1,58 m e peso 51 kg, faz a sua primeira doação de sangue. Pouco antes de a coleta do sangue se completar, ela começa a suar e a ficar pálida, e diz estar tonta e com muito enjoo. A doação é interrompida, e se constata que a doadora apresenta hipotensão e bradicardia. Ela melhorou após ser colocada em posição de Trendelenburg.

Esse conjunto de sinais e sintomas é característico do seguinte tipo de reação adversa à doação de sangue:

 

Provas

Questão presente nas seguintes provas
3787086 Ano: 2024
Disciplina: Medicina
Banca: FGV
Orgão: ENARE
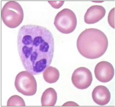
Uma paciente de 54 anos vai ao consultório do hematologista com queixas de cansaço e palidez. A paciente havia se submetido a uma gastrectomia 8 meses antes da consulta. O médico solicita um hemograma, que mostra anemia (hemoglobina: 7 g/dL), VCM: 100 fL, leucócitos e plaquetas normais; a contagem de reticulócitos é de 5.000/µL.  
O esfregaço sanguíneo é mostrado abaixo. 
Enunciado 4578928-1
Diante do quadro descrito, o diagnóstico mais provável é:
 

Provas

Questão presente nas seguintes provas
3787085 Ano: 2024
Disciplina: Medicina
Banca: FGV
Orgão: ENARE
Um paciente com 18 anos de idade, portador de hemofilia A grave, com inibidor de alto título (100 unidades Bethesda), em uso de emicizumab, sofre um acidente de carro e bate com a cabeça no vidro. No hospital, constata-se, pela ressonância magnética, a presença de sangue no cérebro.  
O tratamento da hemorragia deve ser feito com:
 

Provas

Questão presente nas seguintes provas
3787084 Ano: 2024
Disciplina: Medicina
Banca: FGV
Orgão: ENARE
Um doador de sangue do sexo masculino, 20 anos de idade, é convocado para uma consulta no serviço em que doou, devido a alteração nos resultados sorológicos. O único marcador positivo foi anti-HBc. Após a consulta, foi colhida nova amostra de sangue, e os resultados encontrados foram os seguintes:
• anti-HBc: positivo; • HBsAg: negativo; • HBV (NAT individual): negativo; • anti-HBsAg: positivo (> 10UI/mL). 
Com esses resultados, é correto concluir que o doador:
 

Provas

Questão presente nas seguintes provas
3787083 Ano: 2024
Disciplina: Medicina
Banca: FGV
Orgão: ENARE
Uma paciente de 46 anos de idade, pesando 60 kg, internada para tratamento de indução de leucemia mieloide aguda, apresenta, no 3º dia pós-quimioterapia, aplasia de medula óssea, com anemia (hemoglobina de 9,5 g/dL), neutropenia (300 neutrófilos/µL) e plaquetopenia (4.000 leucócitos/µL). Nesse momento, a abordagem transfusional dessa paciente consiste em transfusão de:
 

Provas

Questão presente nas seguintes provas
3787082 Ano: 2024
Disciplina: Medicina
Banca: FGV
Orgão: ENARE
Um paciente de 68 anos de idade, tabagista (40 cigarros/dia) desde a juventude, começa a apresentar prurido intenso após o banho, dispneia aos grandes esforços, cefaleia constante e visão turva. Seu hemograma mostra: 
• hemoglobina: 18,5 g/dL; • leucócitos: 10.500/µL; • plaquetas: 300.000/µL. 
Para confirmar o diagnóstico de policitemia vera, é necessário:
 

Provas

Questão presente nas seguintes provas
3787081 Ano: 2024
Disciplina: Medicina
Banca: FGV
Orgão: ENARE
O tratamento padrão da talassemia Beta major consiste em:
 

Provas

Questão presente nas seguintes provas
3787080 Ano: 2024
Disciplina: Medicina
Banca: FGV
Orgão: ENARE

Um paciente de 39 anos, sexo masculino, é submetido a alguns exames de rotina, em que foi encontrada uma dosagem de ferritina de 800 ng/dL. A dosagem de hemoglobina era de 15g/dL. Foi solicitada pesquisa das mutações genéticas C282Y, e H63D, cujos resultados foram:

• C282Y: positiva, em homozigose;

• H63D: positiva, em heterozigose.

Com esses resultados, o tratamento dessa condição deve ser feito com:

 

Provas

Questão presente nas seguintes provas
3787079 Ano: 2024
Disciplina: Medicina
Banca: FGV
Orgão: ENARE
Um paciente de 45 anos, com história de tromboflebite de repetição, foi medicado com warfarina, 5 mg/dia. Seis meses depois do início do tratamento, apresentou hemorragia digestiva alta de vulto, levando a instabilidade hemodinâmica e a necessidade de internação e de transfusão de hemácias. Seu coagulograma mostrava um tempo de protrombina de 20 segundos com RNI de 3,5.  
Diante desse quadro, a opção terapêutica para reverter rapidamente a discrasia sanguínea é:
 

Provas

Questão presente nas seguintes provas
3787078 Ano: 2024
Disciplina: Medicina
Banca: FGV
Orgão: ENARE
Uma paciente com 68 anos de idade é diagnosticada com leucemia linfocítica crônica (LLC), depois de um hemograma de rotina, em que havia 50.000 linfócitos/µL. A suspeita foi confirmada por imunofenotipagem. A paciente está assintomática, sem febre, anemia ou perda de peso. Seu novo hemograma, feito um mês depois do hemograma inicial, mostrou uma contagem de linfócitos de 105.000/µL.  
O tratamento indicado para essa paciente é:
 

Provas

Questão presente nas seguintes provas