Foram encontradas 950 questões.
Em relação aos aneurismas de aorta e dissecção, assinale a alternativa correta.
Provas
Pacientes com problemas hepáticos podem ter diminuição na contagem de plaquetas e, portanto, dificuldade na hemostasia quando submetidos a procedimentos cruentos. Considera-se que seja segura a realização de pequenas cirurgias quando as plaquetas estiverem com contagens a partir de
Provas
Estudos identificam as bactérias como seres unicelulares, constituídas basicamente de: membrana, citoplasma e núcleo. Esse conjunto tem o nome de PROTOPLASTO. Além disso, possuem outras estruturas que, apesar de importantes, nem sempre são encontradas em todas as bactérias como: parede, cápsula, flagelos e esporos. Assinale a alternativa INCORRETA a respeito do agrupamento das bactérias (cocos).
Provas
Agente desinfectante potente, considerado um dos melhores para a Odontologia, com ação virucida, bactericida e esporicida.Tem como reação adversa ser irritante e corrosivo. Podendo, também, degradar plásticos. A qual desinfectante o enunciado se refere?
Provas
Na medicina nuclear, é objetivo da investigação de dose, doses que excedem ao limiar de
Provas
Em relação aos vírus da família dos herpes vírus humano, assinale a alternativa INCORRETA.
Provas
Paciente masculino, 28 anos, deu entrada em Hospital com o seguinte quadro clínico: deficiência de ferro; deficiência de folato; deficiência de vitamina B12; deficiência de eritropoetina; insuficiência renal crônica; hipotireoidismo; inflamação; deficiência na síntese do heme; anemias sideroblásticas; porfirias congênitas e porfirias adquiridas, ou intoxicação por metais pesados (chumbo). Mediante esse quadro clínico, assinale a alternativa que apresenta o tipo de anemia desse paciente.
Provas
Mulher, 45 anos, gestante, internada na UTI devido à Diabetes Mellitus Gestacional (DMG). Quais são os sintomas clássicos da DMG?
Provas
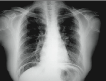
Idoso de 69 anos com quadro de melena há 1 semana e, há 3 horas, referiu surgimento de dor abdominal aguda dufusa mais intensa em epigastro. Estava em uso de diclofenaco diariamente há 1 ano, devido à coxartrose. Nega uso de outras medicações. Foi realizada a seguinte radiografia:

Diante do quadro, assinale a alternativa que apresenta o correto diagnóstico.
Provas
A Resolução nº 7, de 24 de fevereiro de 2010, dispõe sobre os requisitos mínimos para o funcionamento de Unidades de Terapia Intensiva. Considerando essa resolução, analise as assertivas e assinale a alternativa que aponta as corretas.
I. Art. 7º: A direção do hospital onde a UTI está inserida deve garantir: o provimento dos recursos humanos e materiais necessários ao funcionamento da unidade e à continuidade da atenção, em conformidade com as disposições da resolução.
II. Nas UTIs Pediátricas Mistas, permitese o compartilhamento de área física entre os ambientes de UTI Pediátrica e UTI Neonatal.
III. Em relação aos Recursos Humanos, deve ser formalmente designado um responsável técnico médico, um enfermeiro coordenador da equipe de enfermagem e um fisioterapeuta coordenador da equipe de fisioterapia, assim como seus respectivos substitutos.
IV. Em relação aos Recursos Humanos: são necessários enfermeiros assistenciais: no mínimo 01 para cada 10 leitos ou fração, em cada turno.
V. Deve ser garantido acesso aos serviços diagnósticos e terapêuticos, no hospital onde a UTI está inserida ou em outro estabelecimento, por meio de acesso formalizado.
Provas
Caderno Container