Foram encontradas 200 questões.
Paciente, 34 anos, portador de insuficiência
renal crônica, evoluiu com quadro de
hipotensão arterial, agitação e taquicardia.
O cardiologista clínico, após avaliar os
níveis altíssimos de ureia, fez sua hipótese
diagnóstica e solicitou um ecocardiograma
à beira do leito. Em relação ao caso clínico,
assinale a alternativa correta.
Provas
Questão presente nas seguintes provas
Paciente, queixando-se de cansaço aos
esforços, apresenta BRD ao ECG. A imagem
ecocardiográfica está apresentada a seguir.
Qual é o diagnóstico mais provável?


Provas
Questão presente nas seguintes provas
A estenose aórtica valvar, causa mais comum
de obstrução fixa do ventrículo esquerdo, é
mais frequente no sexo masculino. Sob os
aspectos ecocardiográficos dessa patologia,
assinale a alternativa correta.
Provas
Questão presente nas seguintes provas
Tanto o Ecocardiograma Transtorácico
quanto o ecocardiograma transesofágico são
extremamente úteis nas doenças da aorta.
Referente ao assunto, assinale a alternativa
correta.
Provas
Questão presente nas seguintes provas
Sobre a utilização do ecocardiograma no
transplante cardíaco, assinale a alternativa
correta.
Provas
Questão presente nas seguintes provas
O ecocardiograma exerce um papel
fundamental no diagnóstico e manejo dos
pacientes com endocardite infecciosa, sendo
seu uso quase obrigatório em todos os casos
dessa patologia. Em relação à utilização do
ecocardiograma e à endorcadite infecciosa,
assinale a alternativa correta.
Provas
Questão presente nas seguintes provas
Assinale a alternativa correta em relação ao
uso do ecocardiograma na avaliação das
próteses valvares.
Provas
Questão presente nas seguintes provas
Paciente feminino, 19 anos, com 02 episódios
de síncope a esclarecer, foi submetida à
realização de ecocardiograma, encontrandose,
ao exame, um diâmetro septal de 31 mm.
Alega que as mulheres de sua família morrem
de problemas do coração. Sobre o caso,
assinale a alternativa correta.
Provas
Questão presente nas seguintes provas
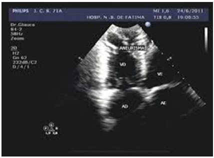
Paciente, 33 anos, com quadro de intolerância
aos esforços e palpitações por episódios de
taquicardia supraventricular, apresentou um
episódio de acidente vascular cerebral há
duas semanas. Em relação à imagem a seguir
e ao caso clínico apresentado, assinale a
alternativa INCORRETA.


Provas
Questão presente nas seguintes provas
Neonato, prematuro, com cerca de 1300 g,
apresentou pulsos periféricos amplos, sopro
contínuo infraclavicular, hepatomegalia e
bradicardia. Sobre os aspectos clínicos
apresentados, assinale a alternativa correta
em relação aos aspectos ecocardiográficos
que poderão ser encontrados.
Provas
Questão presente nas seguintes provas
Cadernos
Caderno Container