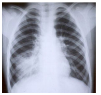
Um homem de 30 anos, anteriormente hígido, apresenta
febre, tosse e dor ventilatório-dependente no hemitórax direito há 1 dia. Refere ter tomado cefalexina por 1 semana
há cerca de 45 dias devido a ferimento por trauma no pé.
A radiografia de tórax mostra:
O médico decide por tratamento ambulatorial. Dentre as
opções terapêuticas abaixo, a PIOR opção é
Homem de 50 anos com antecedentes de HAS e dislipidemia é admitido no Pronto Atendimento referência em Cardiologia, com quadro de dor precordial de forte intensidade, início há, aproximadamente, 60 minutos, com irradiação para o MSE, associada a náuseas e vômitos e instabilidade hemodinâmica (Pressão Arterial 80 × 60 mmHg e Frequência Cardíaca 130 bpm). ECG de 12 derivações revela IAM com supradesnivelamento de ST anterior extenso. A conduta mais apropriada é:
Uma mulher de 36 anos, portadora de diabetes tipo 1, é
admitida na sala de emergência com diarreia, vômitos,
fraqueza muscular intensa e franca cetoacidose. O seu
eletrocardiograma mostra:
Deve-se iniciar de imediato a administração endovenosa
de solução fisiológica, insulina e