Foram encontradas 755 questões.
Um paciente com 55 anos de idade sempre teve boa saúde, até que, há 9 meses, percebeu dormência e fraqueza nos membros inferiores; essa sensação piorou e ascendeu, passando a ser presente nas mãos. Na avaliação médica, era marcante a arreflexia nos quatro membros, hipopalestesia nos quirodáctilos e joelhos, e abatiestesia associada à apalestesia nos pododáctilos, bilateralmente. Os reflexos cutâneo-plantares eram indiferentes. Havia, também, fraqueza muscular em membros inferiores, acometendo principalmente a musculatura proximal. A marcha era com base alargada e o teste de Romberg foi positivo.
Com referência à situação clínica acima, julgue o item.
O exame neurológico indica a possibilidade de o paciente estar acometido pela doença de Lou Gehrig.
Provas
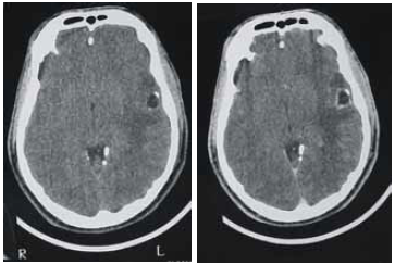
Uma paciente de 35 anos de idade foi levada ao prontosocorro após uma convulsão. Ao exame de admissão, encontravase confusa, sonolenta, porém reativa ao chamado. Apresentava sutil paresia braquiofacial direita. O esposo informou que, nos últimos cinco meses, a paciente começou a apresentar dificuldade para se comunicar, troca de palavras e dificuldade para nomeação. Há duas semanas, o quadro piorou e começou a ficar desligada e a apresentar abalos musculares no membro superior direito, de rápida duração, além de queixar-se de dor de cabeça. Foi realizada uma tomografia computadorizada (TC0 de crânio, sem e com contraste, obtendo-se as imagens a seguir.

Com referência a esse quadro clínico, julgue os item que se segue.
A dexametasona é o agente preferido como antiedematoso por sua alta atividade mineralocorticoide.
Provas
Uma paciente de 35 anos de idade foi levada ao prontosocorro após uma convulsão. Ao exame de admissão, encontravase confusa, sonolenta, porém reativa ao chamado. Apresentava sutil paresia braquiofacial direita. O esposo informou que, nos últimos cinco meses, a paciente começou a apresentar dificuldade para se comunicar, troca de palavras e dificuldade para nomeação. Há duas semanas, o quadro piorou e começou a ficar desligada e a apresentar abalos musculares no membro superior direito, de rápida duração, além de queixar-se de dor de cabeça. Foi realizada uma tomografia computadorizada (TC0 de crânio, sem e com contraste, obtendo-se as imagens a seguir.

Com referência a esse quadro clínico, julgue os item que se segue.
A imagem mostra um edema vasogênico, que tem como base a ruptura da barreira hematencefálica, levando a aumento da permeabilidade e passagem de líquidos do espaço intravascular para o extravascular, extracelular.
Provas
Uma paciente de 35 anos de idade foi levada ao prontosocorro após uma convulsão. Ao exame de admissão, encontravase confusa, sonolenta, porém reativa ao chamado. Apresentava sutil paresia braquiofacial direita. O esposo informou que, nos últimos cinco meses, a paciente começou a apresentar dificuldade para se comunicar, troca de palavras e dificuldade para nomeação. Há duas semanas, o quadro piorou e começou a ficar desligada e a apresentar abalos musculares no membro superior direito, de rápida duração, além de queixar-se de dor de cabeça. Foi realizada uma tomografia computadorizada (TC0 de crânio, sem e com contraste, obtendo-se as imagens a seguir.

Com referência a esse quadro clínico, julgue os item que se segue.
O tratamento com anticonvulsivante é desnecessário, já que essa paciente não está em status epilepticus.
Provas
Uma paciente de 35 anos de idade foi levada ao prontosocorro após uma convulsão. Ao exame de admissão, encontravase confusa, sonolenta, porém reativa ao chamado. Apresentava sutil paresia braquiofacial direita. O esposo informou que, nos últimos cinco meses, a paciente começou a apresentar dificuldade para se comunicar, troca de palavras e dificuldade para nomeação. Há duas semanas, o quadro piorou e começou a ficar desligada e a apresentar abalos musculares no membro superior direito, de rápida duração, além de queixar-se de dor de cabeça. Foi realizada uma tomografia computadorizada (TC0 de crânio, sem e com contraste, obtendo-se as imagens a seguir.

Com referência a esse quadro clínico, julgue os item que se segue.
O eletroencefalograma pode evidenciar atividade delta rítmica intermitente na região temporal esquerda, achado compatível com o quadro clínico.
Provas

Provas

Provas

Provas
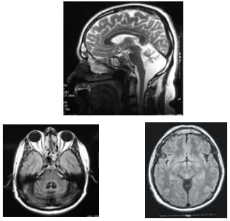
José, com 42 anos de idade, foi renovar sua carteira de motorista e, ainda na entrada do consultório, o médico observou uma marcha com base alargada e insegura. Durante a avaliação clínica, ao testar a coordenação, o médico verificou tremor de intenção à prova índex-nariz, dismetria e disdiacocinesia bilateral. Os pares cranianos, a força muscular e os reflexos — profundos e superficiais — eram normais. A fala de José era pausada, silabada. Ao ser questionado sobre o uso de álcool, negou-o e referiu que o problema do desequilíbrio vem piorando nos últimos dez anos, fato que provocou o acompanhamento médico e motivou a realização de uma ressonância nuclear magnética (RNM), cujas imagens são apresentadas abaixo.

Acerca desse quadro clínico, julgue o seguinte item.
Das causas metabólicas que podem causar sintomas semelhantes, está a deficiência de vitamina E.
Provas

Provas
Caderno Container