Foram encontradas 2.975 questões.
Provas
Provas
Provas
Provas
Provas
Provas
Provas
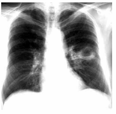
Um homem de 40 anos de idade queixa-se de tosse produtiva, com duração de 14 dias, com grande quantidade de catarro mucopurulento e fétido. Relata que a quantidade de catarro aumentou nos últimos 2 dias e que ele passou a apresentar vários episódios de febre. Informa ser etilista pesado por vários anos e tabagista de 1 maço de cigarros por 25 anos e nega doenças prévias. Antes de procurar o hospital, ele foi a um posto de saúde, há 1 semana, onde foi submetido a exames para tuberculose, que foram negativos, e como não melhorasse, fez uso, por conta própria, de um comprimido de antibiótico (não se lembra do nome), há 1 dia. Ao exame clínico, apresentou sinais vitais normais, péssimas condições de higiene oral e dentária (várias cáries). Ritmo cardíaco regular, sem sopros. ausculta pulmonar, havia redução do murmúrio vesicular no terço médio do hemitórax esquerdo. Exames laboratoriais evidenciaram leucocitose moderada, com contagem diferencial normal, sem outras alterações. O exame radiográfico do tórax na projeção póstero-anterior é apresentado na figura abaixo.

Tomando como base as informações acima apresentadas, julgue os itens seguintes.
Provas
Um homem de 40 anos de idade queixa-se de tosse produtiva, com duração de 14 dias, com grande quantidade de catarro mucopurulento e fétido. Relata que a quantidade de catarro aumentou nos últimos 2 dias e que ele passou a apresentar vários episódios de febre. Informa ser etilista pesado por vários anos e tabagista de 1 maço de cigarros por 25 anos e nega doenças prévias. Antes de procurar o hospital, ele foi a um posto de saúde, há 1 semana, onde foi submetido a exames para tuberculose, que foram negativos, e como não melhorasse, fez uso, por conta própria, de um comprimido de antibiótico (não se lembra do nome), há 1 dia. Ao exame clínico, apresentou sinais vitais normais, péssimas condições de higiene oral e dentária (várias cáries). Ritmo cardíaco regular, sem sopros. ausculta pulmonar, havia redução do murmúrio vesicular no terço médio do hemitórax esquerdo. Exames laboratoriais evidenciaram leucocitose moderada, com contagem diferencial normal, sem outras alterações. O exame radiográfico do tórax na projeção póstero-anterior é apresentado na figura abaixo.

Tomando como base as informações acima apresentadas, julgue os itens seguintes.
Provas
Um homem de 40 anos de idade queixa-se de tosse produtiva, com duração de 14 dias, com grande quantidade de catarro mucopurulento e fétido. Relata que a quantidade de catarro aumentou nos últimos 2 dias e que ele passou a apresentar vários episódios de febre. Informa ser etilista pesado por vários anos e tabagista de 1 maço de cigarros por 25 anos e nega doenças prévias. Antes de procurar o hospital, ele foi a um posto de saúde, há 1 semana, onde foi submetido a exames para tuberculose, que foram negativos, e como não melhorasse, fez uso, por conta própria, de um comprimido de antibiótico (não se lembra do nome), há 1 dia. Ao exame clínico, apresentou sinais vitais normais, péssimas condições de higiene oral e dentária (várias cáries). Ritmo cardíaco regular, sem sopros. ausculta pulmonar, havia redução do murmúrio vesicular no terço médio do hemitórax esquerdo. Exames laboratoriais evidenciaram leucocitose moderada, com contagem diferencial normal, sem outras alterações. O exame radiográfico do tórax na projeção póstero-anterior é apresentado na figura abaixo.

Tomando como base as informações acima apresentadas, julgue os itens seguintes.
Provas
Caderno Container