Foram encontradas 1.800 questões.
Em relação ao uso de vasopressina, durante reanimação cardiorrespiratória, pode-se afirmar que:
Provas
Para um fármaco de metabolização exclusivamente hepática, com razão de extração próxima a 1, qual é o principal fator limitante da sua taxa de depuração em um indivíduo hígido?
Provas
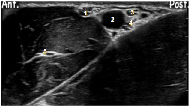
Em relação às técnicas de abordagem de anestesia do plexo braquial, para cirurgias do membro superior, a abordagem axilar é muito aplicada para cirurgias de fraturas do membro superior, sobretudo distais, e confecção de fístulas artériovenosas para realização de hemodiálise.
Baseado na janela ultrassonográfica para essa técnica, relacione a estrutura indicada na imagem à respectiva descrição.

| Estrutura | Descrição |
|---|---|
| (1) Estrutura 1 | ( ) Nervo radial |
| (2) Estrutura 2 | ( ) Nervo musculocutâneo |
| (3) Estrutura 3 | ( ) Artéria axilar |
| (4) Estrutura 4 | ( ) Nervo mediano |
| (5) estrutura 5 | ( ) Nervo ulnar |
A sequência correta dessa associação é:
Provas
Em relação à fisiologia do obeso mórbido, marque a opção correta.
Provas
Em relação às propriedades farmacocinéticas dos anestésicos venosos, informe verdadeiro (V) ou falso (F) para as assertivas abaixo e, em seguida, marque a opção que apresenta a sequência correta.
( ) A meia-vida contexto-sensitiva é o tempo necessário para decréscimo de 50% da concentração plasmática do fármaco após a interrupção da sua infusão contínua.
( ) Em um tempo equivalente a duas meias-vidas de distribuição, um fármaco alcança seu estado de equilíbrio (steady state).
( ) Do ponto de vista exclusivamente farmacocinético, após 4 horas de infusão contínua, o propofol apresenta a curva de meia-vida contexto-sensitiva mais prolongada.
( ) O término do efeito do propofol após sua administração em bolus ocorre devido à sua elevada biotransformação.
( ) Na curva de concentração plasmática após injeção em bolus, a meia-vida alfa também é chamada de fase de eliminação rápida.
Provas
Qual neurotransmissor é responsável pela ativação dos receptores pós-ganglionares das glândulas sudoríparas no sistema nervoso autônomo simpático?
Provas
Após uma parada cardiocirculatória que durou 15 minutos e foi revertida com sucesso, o paciente se encontra intubado em ventilação controlada mecânica e com a seguinte gasometria: PaO2 86 mmHg, PaCO2 63 mmHg, pH 7.25 com uma FiO2 de 100%. Qual a conduta mais indicada?
Provas
Em pacientes submetidos à cirurgia não cardíaca com suspeita de doença cardiovascular oculta, a identificação do risco perioperatório é uma etapa fundamental da avaliação pré-operatória. Qual dos seguintes instrumentos é o mais indicado para estratificar o risco de complicações cardíacas nesses pacientes?
Provas
Assinale a opção que descreve um conceito da mecânica ventilatória pulmonar corretamente.
Provas
Um lactente de 10 semanas de idade, nascido com 28 semanas de gestação, está programado para correção eletiva de hérnias inguinais bilaterais. A conduta mais apropriada para este caso é:
Provas
Caderno Container