Foram encontradas 1.499 questões.
Uma lesão única, do tipo vidro fosco, localizada no fêmur, é característica de
Provas
O aspecto radiológico caracterizado por “nidus hiperlucente” é um sinal clássico observado no
Provas
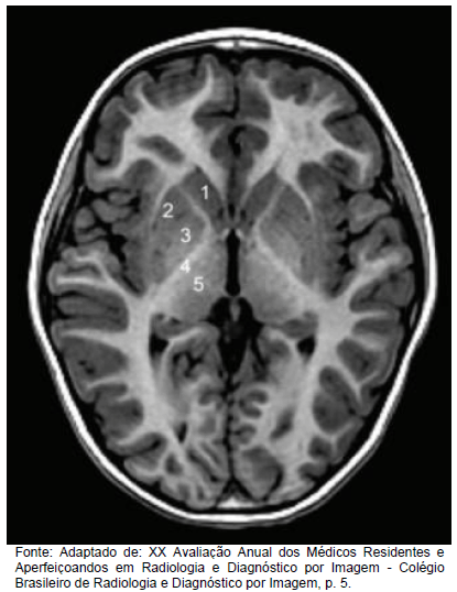
Analise a imagem abaixo.

Marque a opção em que as estruturas indicadas nessa imagem estão corretamente nomeadas.
Provas
Entre as condições a seguir, qual apresenta maior risco de esclerose nefrogênica sistêmica após o uso de meio de contraste à base de gadolínio?
Provas
Numa radiografia convencional de tórax, o efeito anódico é utilizado para
Provas
Preencha as lacunas abaixo.
Os meios de contraste iodados com menor efeito colateral são o e o .
A sequência de palavras que preenche corretamente as lacunas é:
Provas
A trajetória da Assistência Social como política pública de direito e dever do Estado é bastante recente na história brasileira. Tal política só foi reconhecida como política de Seguridade Social com o advento da Constituição Federal de 1988. Mas é somente em 1993, com a aprovação da Lei Orgânica de Assistência Social (LOAS), que esta política começa a se organizar e a se materializar, de fato. Esse ano a LOAS completará 30 anos de existência e de lá para cá muito já se avançou, e há ainda muito o que se avançar.
Analise as assertivas abaixo, sobre os níveis de proteção social ofertados pela Política de Assistência Social.
I. A Assistência Social divide-se em três níveis de proteção sendo eles, Proteção Social Básica, Proteção Social Especial e Proteção Social de Alta Complexidade.
II. As proteções sociais básica e especial serão ofertadas pela rede socioassistencial, de forma integrada, diretamente pelos entes públicos e/ou pelas entidades e organizações de assistência social vinculadas ao Sistema Único de Assistência Social (SUAS), respeitadas as especificidades de cada ação
III. A Proteção Social Básica é ofertada obrigatoriamente nos Centros de Referência de Assistência Social - CRAS
IV. A Proteção Social Especial se trata de um conjunto de serviços, programas e projetos que tem por objetivo contribuir para a reconstrução de vínculos familiares e comunitários, a defesa de direito, o fortalecimento das potencialidades e aquisições e a proteção de famílias e indivíduos para o enfrentamento das situações de violação de direitos.
Estão corretas apenas as assertivas
Provas
Paciente compareceu à clínica odontológica com queixa referente ao dente 43, que ao exame clínico periodontal apresentou bolsa de 8mm na face mesial e 6mm na vestibular, presença de fístula na face vestibular próximo a região apical, sem mobilidade dentária e sem recessão. Foi observada presença de coroa total metalocerâmica com pino intra-radicular, e o paciente relatou a realização de tratamento endodôntico há mais de 10 anos no dente 43. Ao exame radiográfico, foi observada área radiolúcida no periápice compatível com lesão periapical, tratamento endodôntico insatisfatório, e rarefação óssea observada na face mesial, comunicando-se com a lesão periapical. Na tomografia não foi observada nenhuma imagem compatível com trinca ou fratura. O paciente não apresenta nenhum problema de saúde ou manifestação sistêmica associada.
Considerando o exposto, qual o possível diagnóstico e tratamento específico para a condição apresentada?
Provas
A fase cirúrgica da terapia periodontal é também referida como terapia de fase II, e apresenta objetivos específicos.
Sobre o assunto, marque a opção correta.
Provas
A furca é uma área de morfologia anatômica complexa, e a progressão da doença periodontal inflamatória, se não for tratada, acaba resultando em perda de inserção clínica suficiente para afetar a bifurcação ou a trifurcação de dentes multirradiculares, constituindo um dilema diagnóstico e terapêutico.
Considerando o exposto, em relação ao diagnóstico e tratamento de dentes com envolvimento de furca, marque a opção correta.
Provas
Caderno Container