Foram encontradas 1.350 questões.
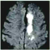
Analise a imagem abaixo, que apresenta uma ressonância.
Essa ressonância é característica de:

Fonte: Banca examinadora.
Provas
O tratamento da dor neuropática visa o alívio dos sintomas, independentemente da doença de base.
Sobre o assunto, é correto afirmar que:
Provas
A meningite criptoccócica se desenvolve em até 7% dos pacientes com AIDS.
Sobre a neurocriptococose, assinale a opção correta.
Provas
O tremor essencial é o movimento involuntário mais comum e
Provas
Em relação à trombose venosa cerebral, assinale a opção correta.
Provas
Paciente de 20 anos com relato de cefaleia e amenorreia e galactorreia há 6 meses. No exame neurológico, foi identificada hemianopsia bitemporal, com manutenção da acuidade visual. Sem déficits motores ou sensitivos e com reflexos normais. Investigada com ressonância magnética, que mostrava volumosa lesão selar, compatível com macroadenoma hipofisário. A dosagem de prolactina era de 645 ng/ml.
A orientação inicial do neurologista deve ser encaminhar ao(a):
Provas
A avaliação e tratamento dos Acidentes Vasculares Encefálicos (AVE) teve grande avanço nos últimos anos, principalmente relacionados à maior informação e educação dos cidadãos, visando admissões hospitalares mais precoces, que permitem instituição de terapêutica precoce e medidas invasivas, quando indicado.
Com relação ao tratamento agudo da isquemia cerebral, é correto afirmar que:
Provas
Qual das opções abaixo inclui apenas medicações que apresentam como mecanismo de ação antiepilética o bloqueio dos canais de sódio?
Provas
São considerados fatores de risco ambientais para esclerose múltipla, exceto:
Provas
Algumas medicações utilizadas em pacientes neurológicos, a exemplo dos portadores de Esclerose Múltipla, possuem como mecanismo de ação o bloqueio dos canais de potássio voltagem-dependente, o que acarretará
Provas
Caderno Container