Foram encontradas 270 questões.
Homem de 55 anos, hipertenso, dislipidêmico e obeso, sem antecedentes de eventos cardiovasculares, chegou ao serviço de pronto-atendimento sem dor torácica, relatando ter apresentado, mais cedo, episódio de dor intensa, com irradiação para mandíbula e membros superiores bilateralmente, com, aproximadamente, 20 minutos, durante atendimento ambulatorial em um serviço de Cardiologia. O ECG prévio, registrado em prontuário, não apresentou alterações. No entanto, no momento em que sentiu a dor, foi registrado infradesnivelamento horizontal de segmento ST de V4 a V6, com 2 mm de amplitude. No ECG de admissão, as alterações de repolarização tinham sido resolvidas.
A troponina ultrassensível coletada foi normal. A melhor estratégia para esse paciente é realizar estratificação
Provas
Homem de 75 anos chega ao pronto-atendimento, encaminhado de clínica de nefrologia, após sentir dor torácica durante sessão de diálise. É portador de doença renal crônica em terapia renal substitutiva além de hipertenso e diabético. Apresentou acidente vascular isquêmico há 3 anos, sem sequelas. O ECG realizado apresentou infradesnivelamento de segmento ST de 2 mm na parede anterior, resolvido após interrupção da diálise. No momento da admissão, o paciente encontra-se estável e sem dor. A troponina inicial (qualitativa) foi positiva. O serviço de hemodinâmica foi previamente comunicado, e o paciente será submetido à estratificação invasiva no fim do turno, dentro das próximas 6 horas. A terapia antiplaquetária inicial deve ser realizada, preferencialmente, com
Provas
A angiotomografia de artérias coronárias é um método de diagnóstico não invasivo que vem ganhando importância na avaliação anatômica da doença arterial coronariana aguda e crônica, sobretudo em decorrência do seu alto valor preditivo negativo. A angiotomografia de artérias coronarianas está indicada, adequadamente, para um paciente de
Provas
A Cardiomiopatia Hipertrófica (CMH) figura entre as principais causas de morte súbita relacionada ao esporte e ao exercício físico. Ao mesmo tempo, adaptações fisiológicas e estruturais, ao realizar exercício físico, podem levar à hipertrofia do ventrículo esquerdo (VE) em atletas. Em muitos casos, o diagnóstico diferencial é nebuloso, particularmente em pacientes que se apresentem na “zona cinzenta”, com espessura do septo interventricular entre 13 e 15 mm. O diagnóstico de “coração do atleta” pode ser sugerido por
Provas
Jovem atleta do sexo masculino, afrodescendente, com 17 anos, comparece a consulta após identificação de alteração em eletrocardiograma realizado objetivando obter um laudo que o possibilitasse participar de atividade esportiva. Relata ser assintomático e realizar atividade física com ótima capacidade funcional e alta performance. Ao exame físico, não apresentou alterações. Entre os achados eletrocardiográficos, a presença de cardiopatia pode ser sugerida por
Provas
Homem de 65 anos procurou o pronto-socorro de um hospital regional do interior do Rio Grande do Norte, com queixa de dor precordial em queimação, irradiação para ambos os membros superiores, associada à sudorese e à dispneia, com início 30 minutos antes. Afirmou ter HAS e dislipidemia, com diagnóstico de ataque isquêmico transitório há 8 meses, mas nega alergias ou histórico de sangramentos. Está em uso de AAS 100 mg/dia, anlodipino 5 mg 1x ao dia e enalapril 20 mg 12/12 h. Ao exame físico, apresentase pálido, com sudorese profusa, pressão arterial 132x84 mmHg, FC 84 bpm, murmúrio vesicular presente sem ruídos adventícios, duas bulhas rítmicas normofonéticas, sem sopro, pulsos presentes e simétricos, pesando 80 Kg.
Realizou o eletrocardiograma reproduzido abaixo e, em seguida, o ECG com as derivações acessórias.

Considerando que o hospital com serviço de hemodinâmica mais próximo encontra-se a, aproximadamente, 2 horas e 30 minutos de distância, o tratamento mais adequado, nesse momento, é administrar
Provas
Endocardite infecciosa é uma infecção microbiana da superfície endotelial do coração, normalmente acometendo as valvas cardíacas. Apesar dos avanços da medicina, a incidência e a mortalidade da endocardite infecciosa continuam elevadas, sendo uma doença potencialmente fatal e associada a graves complicações. São considerados critérios maiores de Duke para o diagnóstico de endocardite infecciosa
Provas
A necessidade de terapêutica farmacológica é muito frequente durante a gravidez e a lactação nas gestantes cardiopatas. Entretanto, a prevalência de eventos adversos ao feto, particularmente a restrição de crescimento intrauterino, é significativamente maior quando comparado às gestantes que não utilizaram medicação. Em cardiopatas gestantes,
Provas
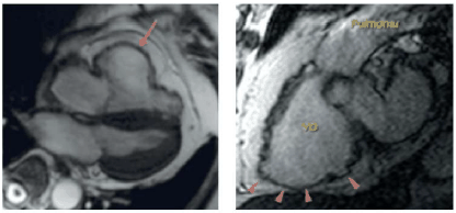
Paciente de 38 anos, natural de Itabuna, sul da Bahia, comparece ao cardiologista para investigação de quadro de insuficiência cardíaca com arritmias ventriculares frequentes, com morfologia tipo BRE. Realizou a ressonância cardíaca reproduzida abaixo.

Para esse caso, a hipótese diagnóstica mais provável é
Provas
Homem de 26 anos apresenta, há um dia, quadro de dor torácica contínua, que piora com a respiração, irradiando para região interescapular. Refere que, há uma semana, apresentou quadro de diarreia, vômitos e exantema. Além do eletrocardiograma reproduzido abaixo, realizou exames laboratoriais sem alterações significativas, incluindo as dosagens de troponinas seriadas.

Conforme a Diretriz Brasileira de Miocardites e Pericardites, o tratamento recomendado é prescrever
Provas
Caderno Container