Foram encontradas 130 questões.
Atenção: o caso a seguir refere-se a próxima questão.
Mulher de 60 anos com HAS e DM tipo 2, relata dor torácica retroesternal em aperto de início há 90 minutos, associada à dispneia, que
começou logo após ser informada do falecimento de seu irmão.
Ao exame: taquidispneica em ar ambiente, sudoreica, corada, acianótica. FC: 120 bpm; PA: 118x64 mmHg. MVUA com crepitação nos 1/3
inferiores bilateralmente. Ritmo cardíaca regular em 3 tempos (B3), bulhas normofonéticas, sem sopros ou turgência jugular patológica a
90º
. O restante do exame físico foi normal.
O eletrocardiograma de admissão encontra-se abaixo e a primeira aferição de troponina ultrassensível foi positiva.


Assinale a opção que apresenta o diagnóstico mais provável.
Provas
Questão presente nas seguintes provas
Atenção: o caso a seguir refere-se a próxima questão.
Homem de 70 anos, hipertenso e ex-tabagista com elevada carga tabágica, é admitido na emergência após episódio de síncope.
O evento ocorreu subitamente após forte estresse emocional e foi precedido por dor torácica de forte intensidade com irradiação para o
pescoço e mandíbula descrita como “em facada”. Nega náuseas, vômitos ou episódios prévios. Em uso de enalapril e sinvastatina.
Ao exame: taquipneico em ar ambiente, ansioso, com fácies de dor, sudoreico. FC 115 bpm, PA: 120x70 mmHg no membro superior direito e
90x50 mmHg no esquerdo. Ritmo cardíaco regular em 2 tempos, com sopro diastólico aspirativo nos focos aórtico e aórtico acessório 2+/6+.
Pulso radial esquerdo impalpável. Restante do exame físico sem alterações. O eletrocardiograma de admissão está a seguir.


A imagem é compatível com o diagnóstico de
Provas
Questão presente nas seguintes provas
Atenção: o caso a seguir refere-se a próxima questão.
Homem de 70 anos, hipertenso e ex-tabagista com elevada carga tabágica, é admitido na emergência após episódio de síncope.
O evento ocorreu subitamente após forte estresse emocional e foi precedido por dor torácica de forte intensidade com irradiação para o
pescoço e mandíbula descrita como “em facada”. Nega náuseas, vômitos ou episódios prévios. Em uso de enalapril e sinvastatina.
Ao exame: taquipneico em ar ambiente, ansioso, com fácies de dor, sudoreico. FC 115 bpm, PA: 120x70 mmHg no membro superior direito e
90x50 mmHg no esquerdo. Ritmo cardíaco regular em 2 tempos, com sopro diastólico aspirativo nos focos aórtico e aórtico acessório 2+/6+.
Pulso radial esquerdo impalpável. Restante do exame físico sem alterações. O eletrocardiograma de admissão está a seguir.

Provas
Questão presente nas seguintes provas
Atenção: o caso a seguir refere-se a próxima questão.
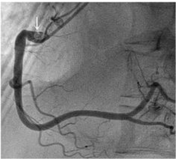
Mulher de 68 anos, com hipertensão e dislipidemia, foi atendida na emergência devido à dor torácica com 90 minutos de evolução. O
eletrocardiograma de admissão foi compatível com uma síndrome coronariana aguda com supradesnível de ST de parede inferior.
Encaminhada imediatamente à hemodinâmica e submetida à angioplastia com implante de stent no segmento proximal da coronária
direita com sucesso. Houve resolução da dor e do supradesnível do segmento ST, e não havia lesões residuais. Mantida dupla antiagregação
plaquetária, ao ser internada na unidade cardiointensiva seu eletrocardiograma revelou o traçado abaixo. No momento do registro a
paciente estava assintomática, com frequência cardíaca 70 bpm, pressão arterial 124x66 mmHg, e sem sinais de congestão pulmonar.

Provas
Questão presente nas seguintes provas
Atenção: o caso a seguir refere-se a próxima questão.
Homem de 70 anos, portador de prótese aórtica biológica há 4 anos, comparece à consulta com queixa de emagrecimento de
6kg em 2 meses, associado à sudorese noturna, febre não aferida e cansaço progressivo. Em uso apenas de ácido acetilsalicílico e
atorvastatina.
Ao exame: emagrecido, eupneico, hipocorado 2+/4+, desidratado. Dentes em mau estado de conservação. TAX: 39ºC, FC: 105 bpm, PA:
130x60 mmHg; ausência de linfonodomegalias ou alterações cutâneas; ausculta pulmonar sem ruídos adventícios; ritmo cardíaco regular
em 2 tempos, bulhas normofonéticas, sopro sistólico 3+/6+ em foco aórtico, com irradiação carotídea; espaço de Traube submaciço.
Membros inferiores sem edema.
Iniciada antibioticoterapia empírica após coleta de 3 pares hemoculturas de sítios diferentes, para aeróbios e anaeróbios. Ecocardiograma
transtorácico sem vegetações nas válvulas nativas, porém sem visualização adequada da válvula aórtica.
Após 3 dias, houve crescimento de Streptococcus mitis em 4 frascos de hemoculturas, de três sítios de coleta diferentes. Complementada a
investigação com uma tomografia computadorizada por emissão de pósitrons, que se encontra a seguir.

Provas
Questão presente nas seguintes provas
Atenção: o caso a seguir refere-se a próxima questão.
Homem de 70 anos, portador de prótese aórtica biológica há 4 anos, comparece à consulta com queixa de emagrecimento de
6kg em 2 meses, associado à sudorese noturna, febre não aferida e cansaço progressivo. Em uso apenas de ácido acetilsalicílico e
atorvastatina.
Ao exame: emagrecido, eupneico, hipocorado 2+/4+, desidratado. Dentes em mau estado de conservação. TAX: 39ºC, FC: 105 bpm, PA:
130x60 mmHg; ausência de linfonodomegalias ou alterações cutâneas; ausculta pulmonar sem ruídos adventícios; ritmo cardíaco regular
em 2 tempos, bulhas normofonéticas, sopro sistólico 3+/6+ em foco aórtico, com irradiação carotídea; espaço de Traube submaciço.
Membros inferiores sem edema.
Iniciada antibioticoterapia empírica após coleta de 3 pares hemoculturas de sítios diferentes, para aeróbios e anaeróbios. Ecocardiograma
transtorácico sem vegetações nas válvulas nativas, porém sem visualização adequada da válvula aórtica.
Após 3 dias, houve crescimento de Streptococcus mitis em 4 frascos de hemoculturas, de três sítios de coleta diferentes. Complementada a
investigação com uma tomografia computadorizada por emissão de pósitrons, que se encontra a seguir.

Provas
Questão presente nas seguintes provas
Em relação ao uso da eletroconvulsoterapia para tratamento de
distúrbios psiquiátricos em pacientes com cardiopatia subjacente,
analise as afirmativas a seguir.
I. Apesar de ser um procedimento seguro, o risco de complicações cardiovasculares (ex: bradicardia e hipertensão persistente) é maior em pacientes com cardiopatias subjacentes, como doença arterial coronariana e insuficiência cardíaca.
II. Não é necessário qualquer tipo de ajuste ou avaliação de marca-passo ou cárdio-desfibrilador, implantáveis antes ou após o procedimento, uma vez que a energia aplicada não interfere com tais dispositivos.
III. Embora não existam contraindicações cardiovasculares absolutas, o procedimento deve ser adiado em pacientes com arritmias ou hipertensão não controladas.
Está correto o que se afirma em
I. Apesar de ser um procedimento seguro, o risco de complicações cardiovasculares (ex: bradicardia e hipertensão persistente) é maior em pacientes com cardiopatias subjacentes, como doença arterial coronariana e insuficiência cardíaca.
II. Não é necessário qualquer tipo de ajuste ou avaliação de marca-passo ou cárdio-desfibrilador, implantáveis antes ou após o procedimento, uma vez que a energia aplicada não interfere com tais dispositivos.
III. Embora não existam contraindicações cardiovasculares absolutas, o procedimento deve ser adiado em pacientes com arritmias ou hipertensão não controladas.
Está correto o que se afirma em
Provas
Questão presente nas seguintes provas
Entre os achados do exame físico cardíaco a seguir, assinale o
que, caracteristicamente, reduz de intensidade durante a
inspiração profunda.
Provas
Questão presente nas seguintes provas

Considerando a onda de pulso carotídea normal, representada pela figura A, assinale a opção que indica a doença valvar que está associada à onda caracterizada na figura B.
Provas
Questão presente nas seguintes provas
Em relação à revascularização de pacientes com síndrome
coronariana crônica, analise as afirmativas a seguir.
I. Em diabéticos com doença coronariana obstrutiva multivascular acometendo a artéria descendente anterior, que são candidatos à revascularização, a cirurgia é o procedimento de escolha quando o objetivo for a redução de eventos clínicos cardiovasculares.
II. Baseado nas evidências mais atuais de ensaios clínicos randomizados, o tratamento clínico deve ser a estratégia terapêutica inicial na maioria dos pacientes com síndrome coronariana crônica, exceto nos casos de sintomas refratários, disfunção sistólica do ventrículo esquerdo, e/ou lesão significativa de tronco da coronária esquerda.
III. A revascularização percutânea é uma opção terapêutica inicial para pacientes que não desejam tomar medicamentos ou aderir a mudanças de estilo de vida para tratar a doença coronariana subjacente.
Está correto o que se afirma em
I. Em diabéticos com doença coronariana obstrutiva multivascular acometendo a artéria descendente anterior, que são candidatos à revascularização, a cirurgia é o procedimento de escolha quando o objetivo for a redução de eventos clínicos cardiovasculares.
II. Baseado nas evidências mais atuais de ensaios clínicos randomizados, o tratamento clínico deve ser a estratégia terapêutica inicial na maioria dos pacientes com síndrome coronariana crônica, exceto nos casos de sintomas refratários, disfunção sistólica do ventrículo esquerdo, e/ou lesão significativa de tronco da coronária esquerda.
III. A revascularização percutânea é uma opção terapêutica inicial para pacientes que não desejam tomar medicamentos ou aderir a mudanças de estilo de vida para tratar a doença coronariana subjacente.
Está correto o que se afirma em
Provas
Questão presente nas seguintes provas
Cadernos
Caderno Container