Foram encontradas 1.256 questões.
As opções a seguir apresentam medicamentos associados à
redução de mortalidade em pacientes com insuficiência cardíaca
de fração de ejeção reduzida, em classe funcional III da New York
Heart Association, à exceção de um. Assinale-o.
Provas
Questão presente nas seguintes provas
De acordo com os cinco grupos definidos na classificação
clínica/etiológica de hipertensão pulmonar (HP), assinale a opção
que relaciona o grupo e uma possível etiologia subjacente.
Provas
Questão presente nas seguintes provas
Considerando pacientes com osteomielite vertebral, assinale a
opção que indica o agente etiológico associado à maior
prevalência de endocardite concomitante.
Provas
Questão presente nas seguintes provas
Em pacientes com insuficiência cardíaca com tratamento clínico
otimizado e sem outras comorbidades crônicas agravantes,
assinale a opção que descreve aquele que mais se beneficiaria de
receber um cardiodesfibrilador implantável para prevenção de
morte súbita, considerando o contexto clínico, a classe funcional
(CF) da NYHA e a fração de ejeção (FE) do ventrículo esquerdo.
Provas
Questão presente nas seguintes provas
Analise o eletrocardiograma a seguir e responda à próxima questão.

Provas
Questão presente nas seguintes provas
Analise o eletrocardiograma a seguir e responda à próxima questão.

Provas
Questão presente nas seguintes provas
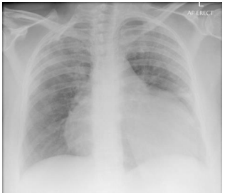
Homem, 60 anos, portador de diabetes mellitus e insuficiência
renal crônica em hemodiálise três vezes por semana há dois anos.
Na última semana, após faltar a duas sessões de diálise, evoluiu
com dispneia aos pequenos esforços e dor torácica pleurítica.

Considerando sua radiografia de tórax (acima), assinale a opção que apresenta um possível achado no seu exame físico.

Considerando sua radiografia de tórax (acima), assinale a opção que apresenta um possível achado no seu exame físico.
Provas
Questão presente nas seguintes provas
Em pacientes com insuficiência valvar aórtica, constitui sinal no
exame físico sugestivo de maior gravidade da lesão valvar a
presença de
Provas
Questão presente nas seguintes provas
Segundo a Resolução CFM nº 2.323, de 6 de outubro de 2022, aos
médicos do trabalho e demais médicos que atendem o
trabalhador, independentemente do local em que atuem, cabe
Provas
Questão presente nas seguintes provas
Segundo o Código de Ética Médica, é permitido ao médico
Provas
Questão presente nas seguintes provas
Cadernos
Caderno Container