Foram encontradas 830 questões.
A Fibrose Cística, também conhecida como Doença do Beijo Salgado ou Mucoviscidose, caracteriza-se por:
Provas
Paciente, 15 anos, sexo masculino, com quadro de obstrução nasal unilateral, progressiva e epistaxe unilateral. A principal hipótese diagnóstica é:
Provas
O primeiro arco branquial, também chamado mandibular, é responsável pela origem das seguintes estruturas:
Provas
Através da compreensão da histologia e da ultraestrutura que compõe as pregas vocais, é possível entender melhor seu mecanismo fisiológico. Fazem parte da composição das pregas vocais:
Provas
Osteoma e Exostose, alterações que provocam estenose óssea do conduto auditivo externo, apresentam como características:
Provas
Paciente, sexo masculino, 60 anos, trabalhador rural. Apresenta em cavidade oral, lesão ulcerada rasa, com fundo granuloso e pontilhado hemorrágico, dolorosa, acometendo gengivas. Exame radiológico pulmonar apresenta aspecto de "asa de borboleta". A principal hipótese diagnóstica é:
Provas
A Doença de Behçet é uma vasculite crônica, descrita pelo dermatologista turco Hulusi Behçet, em 1937, caracterizada por:
Provas
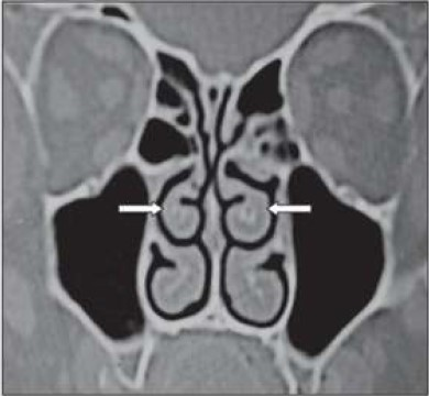
O avanço nos exames de imagem permitiu uma ampliação do conhecimento anatômico e melhor planejamento para tratamento dos pacientes. A introdução da cirurgia endoscópica nasossinusal funcional na década de 1980 trouxe uma mudança drástica na abordagem dos pacientes com rinossinusite recorrente ou refratária, aliviando os sintomas e melhorando a qualidade de vida. A imagem mostra um corte coronal de uma tomografia computadorizada, sendo possível observar na ponta das setas:

Provas
Entre as causas de Paralisia Facial Periférica destacam-se:
Provas

Na figura acima, de uma tomografia computadorizada dos seios paranasais, é possível observar na ponta da seta:
Provas
Caderno Container