Foram encontradas 6.277 questões.
Sobre os critérios de aceitabilidade e rejeição das amostras em um laboratório clínico, como se deve proceder se
o paciente possui uma doença hematológica hemolítica?
Provas
Questão presente nas seguintes provas
A hemoglobinúria paroxística noturna é um distúrbio clonal devido a uma mutação adquirida no gene PIGA das
células-tronco hematopoiéticas. Mutações no PIGA acabam causando diminuição das proteínas ancoradas no
GPI, como a CD59, e proteína reguladora do complemento, na superfície dos eritrócitos.
Após o desenvolvimento dessa patologia, o indivíduo poderá apresentar
Após o desenvolvimento dessa patologia, o indivíduo poderá apresentar
Provas
Questão presente nas seguintes provas
O método analítico é utilizado para a dosagem de vancomicina e qual tipo de tubo de sangue deve ser coletado?
Provas
Questão presente nas seguintes provas
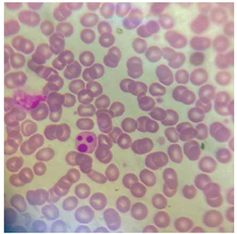
Em uma lâmina de sangue periférico, foram observados os elementos a seguir.

(Imagem gentilmente cedida pelo Laboratório de Análises Clínicas do Centro Universitário-FMABC)
A imagem indica a presença de
Provas
Questão presente nas seguintes provas
Quando ocorre o processo da morte celular, fragmentos
de DNA são liberados alcançando a corrente sanguínea
e estas partículas são chamadas de DNA livre circulante
(ctDNA). Quando o paciente tem um tumor sólido, esse
processo ocorre transportando informações genéticas
específicas do tumor.
Esse avanço nas técnicas laboratoriais auxilia no diagnóstico, prognóstico e terapia celular, e é conhecido como
Esse avanço nas técnicas laboratoriais auxilia no diagnóstico, prognóstico e terapia celular, e é conhecido como
Provas
Questão presente nas seguintes provas
Quais dos seguintes parasitas possuem fêmea partenogenética?
Provas
Questão presente nas seguintes provas
- Parasitologia
- ToxicologiaProtozoologia e Helmintologia: Morfologia, Patogenia, Epidemiologia e Profilaxia
A febre amarela é encontrada em países da América
Central, América do Sul e África, sendo classificada entre
as doenças reconhecidas como de geografias médicas e
doenças infecto-parasitárias.
Em relação ao vetor, qual é o gênero do mosquito responsável pela transmissão da malária?
Em relação ao vetor, qual é o gênero do mosquito responsável pela transmissão da malária?
Provas
Questão presente nas seguintes provas
Ao realizar um exame histopatológico, na análise macroscópica, os seguintes aspectos são verificados na ordem
descrita a seguir:
Provas
Questão presente nas seguintes provas
Em relação ao método de PCR Digital, também conhecido como Digital PCR (dPCR), é correto afirmar:
Provas
Questão presente nas seguintes provas
A imunidade inata é a primeira linha de defesa contra
a entrada de um antígeno. Ela atua de maneira rápida
e não específica, reconhecendo e respondendo a uma
ampla gama de patógenos de forma geral. As principais
células que participam dessa ação são:
Provas
Questão presente nas seguintes provas
Cadernos
Caderno Container