Foram encontradas 3.470 questões.
Para a conversão de unidades, é fundamental o conhecimento
dos prefixos do Sistema Internacional de Unidades
− SI, que consistem na identificação dos múltiplos e
submúltiplos decimais das unidades do SI. Os prefixos
centi e kilo indicam a multiplicação da unidade básica por,
respectivamente,
Provas
Questão presente nas seguintes provas
Atenção: Considere a figura abaixo para responder a questão:
O sistema da figura encontra-se em equilíbrio estático e a tração no cabo CD é de 100 N.
Se a carga aplicada fosse de 1 kN, o máximo momento fletor na barra, em kN.m, seria de
O sistema da figura encontra-se em equilíbrio estático e a tração no cabo CD é de 100 N.
Se a carga aplicada fosse de 1 kN, o máximo momento fletor na barra, em kN.m, seria de
Provas
Questão presente nas seguintes provas
A figura abaixo representa esquematicamente uma transmissão por correia.

Para se estimar o comprimento da correia utiliza-se a fórmula
, sendo D e d, respectivamente, os diâmetros da polia maior e da polia menor e, C,

Para se estimar o comprimento da correia utiliza-se a fórmula
, sendo D e d, respectivamente, os diâmetros da polia maior e da polia menor e, C,Provas
Questão presente nas seguintes provas
Em relação às partículas magnéticas via úmida, o método de ensaio por partículas magnéticas secas utilizado em materiais ferromagnéticos na detecção de descontinuidades superficiais, apresenta:
Provas
Questão presente nas seguintes provas
Um determinado produto químico precisa ser pesado sob
condições ambientais controladas. Para isso, deverá ser
utilizada, pelo técnico, a balança
Provas
Questão presente nas seguintes provas
A leitura de um ângulo no sistema sexagesimal é igual a
32°6’18’’. O valor do ângulo, em graus, é igual a
Provas
Questão presente nas seguintes provas
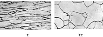
As figuras I e II mostram, respectivamente, o aspecto da morfologia dos grãos de um aço antes e depois da recristalização.

Trata-se, então, de um aço

Trata-se, então, de um aço
Provas
Questão presente nas seguintes provas
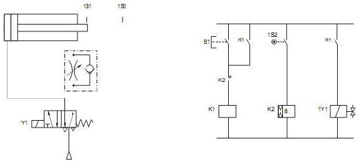
Atenção: Considere as figuras abaixo para responder às questões de números 39 e 40. As figuras mostram um circuito pneumático com seu respectivo comando elétrico.
Além do atuador de dupla ação e da válvula simples solenoide 5/2 vias, esse circuito pneumático é composto por uma válvula
Além do atuador de dupla ação e da válvula simples solenoide 5/2 vias, esse circuito pneumático é composto por uma válvula
Provas
Questão presente nas seguintes provas
Observe a figura abaixo.

Nela está representado o processo de soldagem

Nela está representado o processo de soldagem
Provas
Questão presente nas seguintes provas
Observe o diagrama esquemático de transformação apresentado abaixo.

Ele refere-se ao tratamento térmico denominado martêmpera,

Ele refere-se ao tratamento térmico denominado martêmpera,
Provas
Questão presente nas seguintes provas
Cadernos
Caderno Container