Foram encontradas 34.032 questões.
A imagem abaixo demonstra traçados da Capacidade Vital Forçada a partir de gráficos volume-tempo de um espirômetro. Assinale a alternativa que apresenta a quais comprometimentos pulmonares os traçados identificados com as letras A, B, C correspondem respectivamente.

Fonte: EGAN Fundamentos da Terapia Respiratória, 9° Edição, Editora Elsevier, 2009.
Provas
Leia o trecho abaixo:
Paciente com apresenta aumento da pressão nas vias aéreas relacionado com o aumento da pressão resistiva, sendo a pressão alveolar baixa.
Assinale a alternativa que preencha corretamente a lacuna
Provas
Na prática clínica é possível calcular a eficiência da transferência de oxigênio pulmonar por meio de cálculos feitos à beira do leito. Um cálculo comumente utilizado é a diferença entre a PO2 alveolar e a PO2 arterial, escrito como P(A-a) O2.
Dado a seguinte condição: Mulher de 40 anos de idade, que respira à 80% de oxigênio ao nível do mar, com os seguintes dados gasométricos: PaO2= 60 mmHg; PaCO2 =50 mmHg.
Calcule e interprete o gradiente alvéolo arterial de O2 da paciente acima e assinale a alternativa correta.
Provas
A paciente da imagem abaixo apresenta equimoses periorbitárias (Sinal do Guaxinim), assinale a alternativa que apresenta para qual conduta fisioterapêutica esse sinal é uma importante contra indicação.

Fonte: Guimarães HP; Assunção MSC; Carvalho FB; Japiassú AM; Veras KN; Nácul FE; Reis HJL; Azevedo RP. Manual de medicina intensiva: AMIB. São Paulo : Editora Atheneu, 2014.
Provas
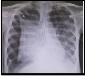
Analise a radiografia abaixo e responda

Fonte: acervo do autor
Assinale a alternativa que apresenta o tratamento imediato que deve ser proposto para este caso.
Provas
Paciente vítima de acidente de moto, foi admitido na Unidade de Terapia Intensiva com diagnóstico de trauma cranioencefálico, na passagem de plantão foi relatado que na cena do acidente ele apresentava abertura ocular à dor, descerebração bilateral e gemência.
Assinale a alternativa que apresenta o valor da escala de coma de Glasgow na admissão.
Provas
Sobre a atuação da fisioterapia respiratória aplicada a cardiologia, analise as afirmativas abaixo.
I. Pacientes submetidos à cirurgia cardíaca desenvolvem, em sua maioria, disfunção pulmonar pós-operatória com redução importante dos volumes pulmonares, prejuízos na mecânica respiratória, aumento na complacência pulmonar e redução do trabalho respiratório.
II. A redução dos volumes e capacidades pulmonares contribui para alterações nas trocas gasosas, resultando em hipoxemia e diminuição na capacidade de difusão.
III. Atelectasia e hipoxemia encontram-se entre as principais complicações pulmonares no pós-operatório de cirurgia cardíaca, porém, outras complicações como, tosse seca ou produtiva, dispnéia, broncoespasmo, hipercapnia, derrame pleural, pneumonia, pneumotórax, reintubação e insuficiência ventilatória também são observadas.
IV. A fisioterapia respiratória é frequentemente utilizada na prevenção e tratamento de complicações pósoperatórias como: retenção de secreções, atelectasias e pneumonia. A duração e frequência da fisioterapia respiratória para pacientes cirúrgicos são variadas, dependendo das necessidades individuais, preferência terapêutica e prática institucional.
Estão corretas as afirmativas:
Provas
A Síndrome do Desconforto Respiratório (SDR) no recém-nascido é uma doença respiratória comum da prematuridade. Diante do exposto, assinale a alternativa correta.
Provas
A Fisioterapia faz parte do atendimento multidisciplinar oferecido aos pacientes em unidade de terapia intensiva (UTI). A esse respeito, assinale a alternativa incorreta.
Provas
A Síndrome de Down (SD) apresenta frequentemente associação com doenças gastrointestinais, deficiências imunológicas, doenças respiratórias concomitantes, doenças cardíacas congênitas e hipotonia muscular. Diante do exposto, analise as afirmativas abaixo e dê valores Verdadeiro (V) ou Falso (F).
( ) Estudos mostram que crianças com SD podem apresentar um risco aumentado para infecções do trato respiratório e essas alterações possivelmente seriam causadas por modificações na resposta imune adaptativa, ou ainda por diferenças morfofuncionais no sistema respiratório desses pacientes.
( ) Dentre as alterações morfológicas das vias aéreas inferiores e do parênquima pulmonar, pode-se encontrar alvéolos em pouca quantidade e tamanhos maiores do que o normal, os ductos alveolares são espaçosos e distendidos, o que sugere uma inadequada alveolarização das unidades pulmonares distais dos bronquíolos respiratórios.
( ) Devido à fraqueza muscular respiratória presente em indivíduos com SD, como consequência da hipotonia, têm-se a necessidade de fisioterapia respiratória, com o intuito de reduzir as complicações respiratórias, assim, os benefícios do treinamento muscular respiratório podem contribuir, além do ganho adicional da força muscular respiratória, na redução das complicações respiratórias.
Assinale a alternativa que apresenta a sequência correta de cima para baixo.
Provas
Caderno Container