Foram encontradas 1.418 questões.
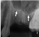
Marque a alternativa que apresenta o reparo anatômico destacado na imagem abaixo (setas):

Provas
Sobre o uso da Radiologia/Imagiologia Comparativa para a Identificação de Restos Humanos, marque a alternativa correta.
Provas
Em relação à estrutura do laudo médico-legal, é correto afirmar:
Provas
Marque a alternativa que melhor define a Criminalística.
Provas
O sistema datiloscópico argentino de identificação, considerado o mais perfeito sistema de identificação individual e universalmente reconhecido como infalível, substituiu definitivamente o sistema antropométrico a partir de 01 de janeiro (1896) como método de identificação no Escritório de La Plata (Argentina).
Esse sistema foi criado por:
Provas
Qual o ramo da balística que estuda os movimentos dos projéteis no ar, do momento que saem do cano até atingir seu alvo?
Assinale a alternativa correta.
Provas
Sobre o envio para a Coordenação de Genética Forense do LCPT/DPT/BA de amostras vestígios de local de crime, é correto afirmar:
Provas
As amostras referência para identificação de restos mortais para Exames de DNA na Coordenação de Genética Forense do LCPT/DPT/BA são preferencialmente fornecidas por:
Provas
Pericianda refere ter sido abusada sexualmente de um desconhecido há cerca de 12 horas, com penetração vaginal. Nega relações sexuais prévias ao evento relatado. Durante a perícia, o perito identifica uma rotura himenal com presença de orvalhamento sanguíneo, localizada as 7 horas e presença de equimose vestibular próxima a localização da rotura.
Diante deste exame, o perito:
Provas
Qual indicação exemplificativa é mais pertinente a indicação de exame Odonto-Legal com finalidade de Identificação Humana? Marque a alternativa correta.
Provas
Caderno Container