Foram encontradas 748 questões.
De acordo com a Norma Regulamentadora nº 4 do MTE, o engenheiro de segurança do trabalho, o médico do trabalho e o enfermeiro do trabalho deverão dedicar, no mínimo, por dia, para as atividades dos Serviços Especializados em Engenharia de Segurança e em Medicina do Trabalho (SESMT)
Provas
Quanto ao Equipamento de Proteção Individual (EPI), cabe ao empregado
Provas
Podemos definir a blindagem em radiologia, como todo o sistema destinado a amenizar um campo de radiação por interposição de um meio material entre a fonte de radiação e as pessoas ou objetos a proteger, sendo a blindagem o método mais relevante de proteção contra a irradiação externa. Dadas as afirmativas sobre sistema de proteção radiológica,
I. Na blindagem para partículas alfa, o reduzido alcance dessas partículas no ar e sua pouca penetração no tecido, dispensa qualquer tipo de medida de proteção contra a radiação alfa externa.
II. Na blindagem para partícula beta, a proteção, tem por objetivo evitar a irradiação da pele, cristalino dos olhos e gônadas.
III. No que diz respeito à radiação gama ou X tem-se, como método mais prático de estimar a espessura da blindagem, a utilização do conceito de camada semirredutora. A camada semirredutora de um material utilizado para blindagem é a espessura necessária para reduzir a intensidade de radiação a ¼ do total.
verifica-se que está(ão) correta(s)
Provas
Sobre os meios de contraste em exames radiológicos, assinale a alternativa correta.
Provas
O princípio básico de proteção radiológica, conhecido como Princípio da Justificação, estabelece que qualquer atividade envolvendo radiação ou exposição deve ser:
I. justificada e planejada para se evitar um custo desnecessário na execução do projeto;
II. justificada para garantir a emissão do alvará de funcionamento pelos órgãos competentes;
III. justificada em relação a outras alternativas e capaz de produzir um benefício líquido para sociedade.
Dos itens acima, verifica-se que está(ão) correto(s)
Provas
Os pontos craniométricos ptério e astério encontram-se, respectivamente,
Provas
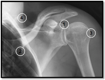
A numeração da imagem radiográfica representa, em ordem crescente, as seguintes estruturas anatômicas:

Provas
Para efeito de blindagem da radiação, a Camada Semirredutora (CSR ou HVL) é definida como a espessura de material que reduz a intensidade de um feixe de fótons pela metade. Qual a intensidade de um feixe de radiação de intensidade 2.400 UA (unidades arbitrárias), após atravessar uma espessura de 5 (cinco) camadas semirredutoras?
Provas
Considere o campo de exposição à radiação gerada por uma determinada fonte a 2 metros de distância, tal que a taxa de dose nesse ponto é de 32 mSv/h. Afastando-se para uma distância de 8 metros, qual será a taxa de dose?
Provas
Dadas as afirmativas sobre os efeitos biológicos das radiações,
I. Os efeitos biológicos das radiações ionizantes podem ser provocados por outras causas que não as radiações, isto é, não são característicos ou específicos das radiações ionizantes.
II. Tempo de latência, é aquele que decorre entre o momento da irradiação e o aparecimento de um dano biológico visível. No caso da dose de radiação ser alta, esse tempo é muito curto. Os danos decorrentes da exposição crônica, doses baixas com tempo de exposição longo, podem apresentar tempos de latência da ordem de dezenas de anos. O tempo de latência é inversamente proporcional à dose.
III. Os efeitos biológicos causados pelas radiações ionizantes podem ser reversíveis. A reversibilidade de um efeito dependerá do tipo de célula afetada e da possibilidade de restauração desta célula. Existem, porém, os danos irreversíveis como o câncer e as necroses.
IV. Quanto à radiossensibilidade, nem todas as células, tecidos, órgãos e organismos respondem igualmente à mesma dose de radiação. As diferenças de sensibilidade observadas seguem a Lei de Bergonie e Tribondeau que diz: “a radiossensibilidade das células é indiretamente proporcional a sua capacidade de reprodução e inversamente proporcional ao seu grau de especialização”.
verifica-se que está(ão) correta(s)
Provas
Caderno Container