Foram encontradas 312 questões.
Sobre a ficha de segurança laboratorial de produtos biológicos e químicos (FISPQ), analise as assertivas e assinale a alternativa que aponta as corretas.
I. A FISPQ é um documento confidencial, porém, para não comprometer a saúde e a segurança dos usuários e a proteção do meio ambiente, as informações referentes ao(s) perigo(s) de substância(s) ou mistura(s), ainda que consideradas confidenciais, devem ser fornecidas.
II. Na FISPQ, não é necessário informar a composição completa do produto químico.
III. O fornecedor deve tornar disponível ao receptor/usuário uma FISPQ completa, na qual estão relatadas informações pertinentes quanto à segurança, à saúde e ao meio ambiente.
IV. O fornecedor tem o dever de manter a FISPQ sempre atualizada e tornar disponível ao usuário/receptor a edição mais recente.
Provas
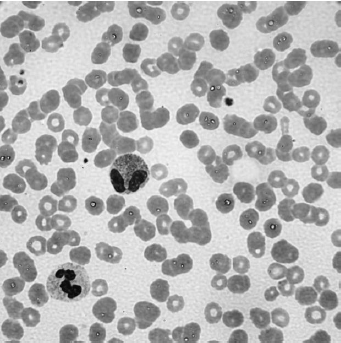
A imagem a seguir mostra uma lâmina de tecido sanguíneo. A respeito do material observado, assinale a alternativa correta.

Provas
Relacione as colunas e assinale a alternativa com a sequência correta.
- Corante basófilo que se comporta como cátion e tem caráter básico.
- De modo geral, as células e os tecidos dos cortes que contêm muitos grupos básicos têm afinidade com esse corante e se coram em rosa.
- Solução saturada de ácido pícrico para análise das fibras de colágeno tipo I e tipo III simultaneamente.
( ) Eosina.
( ) Picrosirius red.
( ) Hematoxilina e azul de metileno.
Provas
A criomicrotomia é uma técnica utilizada para a obtenção de cortes histológicos. Ela é indicada especialmente
Provas
Um técnico deve realizar a coloração de um material que foi submetido a cortes histológicos. Para isso, ele deve retirar a parafina e submeter o material a sucessivos banhos em xilol e álcool. O processo que ele realizará denomina-se
Provas
Informe se é verdadeiro (V) ou falso (F) o que se afirma a seguir e assinale a alternativa com a sequência correta.
( ) A impregnação consiste na infiltração da parafina líquida no material biológico, para que o tecido adquira rigidez suficiente e seja possível a realização de cortes finos.
( ) O objetivo da etapa de impregnação é eliminar completamente o xilol contido na peça e a total penetração da parafina nos espaços deixados pela água e pela gordura.
( ) A etapa da impregnação deve ser realizada a frio.
Provas
A etapa da preparação de amostras biológicas para microscopia que tem a finalidade de interromper o metabolismo celular, estabilizando as estruturas e os componentes bioquímicos intra e extracelulares para preservar e conservar os elementos teciduais denomina-se
Provas
Um técnico deve preparar uma coloração de várias etapas para detectar alterações em células do colo uterino. Para isso, ele deve selecionar quais corantes?
Provas
Sobre a microscopia de campo escuro, assinale a alternativa correta.
Provas
Para um técnico de laboratório preparar uma solução-tampão de NH4Cl, ele deve utilizar
Provas
Caderno Container