Foram encontradas 248 questões.
A realização de punção venosa central é frequente na prática médica em unidades de terapia intensiva. Diversas são as indicações clínicas para a realização do procedimento, porém mais importante que as indicações, é o conhecimento das contraindicações relativas para a realização da punção, uma vez que a realização do procedimento nessas situações contrárias implica prática de iatrogenia e risco para o paciente. São situações de contraindicações relativas à punção venosa central, EXCETO:
Provas
A sepse é uma das principais causas de morbimortalidade em unidades de Terapia Intensiva Pediátrica. Sobre a Sepse em pediatria, responda a alternativa CORRETA:
Provas
A Síndrome de Aspiração Meconial é uma importante causa de morbi mortalidade no período neonatal e caracteriza-se por graus variáveis de Insuficiência Respiratória.
Diante de um quadro de Síndrome de Aspiração Meconial, devemos tentar evitar as três complicações de maior gravidade :
Provas
As hepatites virais ainda são muito frequentes na prática clínica pediátrica. O conhecimento dos marcadores e sua correta interpretação é fundamental ao médico pediatra para o manejo adequado dessa enfermidade.
Qual dos seguintes marcadores virais indica o risco de infectividade da hepatite B?
Provas
É bastante comum o quadro de desconforto respiratório em recém nascido, após o nascimento, até mesmo pela fase inicial de adaptação da respiração, fora do ambiente intrauterino. Cabe ao Neonatologista e ou ao Pediatra, diferenciar esse quadro entre, o que é fisiológico ou patológico.
Recém-nascido a termo, de parto cesárea, apgar 8/9, pesando 3 kg, com 1 hora de vida, apresenta desconforto respiratório, desde o nascimento, de moderada intensidade, mas com progressão do aumento da frequência respiratória para 80 ir/min, melhorando quando em 02 suplementar, em cateter nasal, a 1l/min. Sem história prévia de risco infeccioso e ou de outras intercorrências na gravidez. Pergunta-se: O diagnóstico mais provável para esse recém-nascido é:
Provas
E.f.c, 35 anos, G2 P1 A0, 40 semanas, dheg em uso de metildopa, foi internada com epigastralgia, cefaléia, com hemograma com plaquetopenia, ast e alt elevadas, evoluindo com crise convulsiva, administrado sulfato de magnésio, cardiotocografia com centralização fetal, sendo indicado cesárea de emergência. Recém-nascido nasceu banhado em mecônio, deprimido, não chorou ao nascer, tônus ruim.
Marque a alternativa cuja conduta seja a mais CORRETA para o caso descrito, segundo as novas normas do curso de reanimação neonatal.
Provas
Mãe com diabetes gestacional controlada com alimentação deu entrada no pronto atendimento, sendo internada em trabalho de parto e evoluindo para parto vaginal. Rn termo, 39 semanas, pesando 3330 gramas, apgar 4/8, reanimado com vpp até fio2 60 % evoluindo com desconforto respiratório e mantendo saturação em torno de 89%, sendo encaminhado para uti neonatal. Na admissão na uti neonatal, com saturação preductal 89% e pós ductal 84%. O exame físico apresentava fc 180 bpm e fr 90 irpm, fígado palpável 4 cm do rcd e cianose de extremidades.
Considerando esse caso, assinale a alternativa CORRETA que corresponda quais as condutas imediatas?
Provas
Criança, sexo feminino, 7 anos, vem em consulta médica com queixa de baixa estatura há cerca de 2 anos e há 6 meses apresenta quadro de constipação intestinal (demora cerca de 7 dias para evacuar), sem qualquer outra queixa ou alteração dos hábitos de vida. Mãe nega qualquer fator positivo em relação ao pré-natal, natal e pós-natal. Nos antecedentes pessoais, refere apenas que teve varicela aos 6 meses de vida. Em relação aos antecedentes familiares, apresenta histórico positivo para tireoidopatia na família materna e Diabetes na família paterna.
Ao exame físico, chama atenção a queda na curva do crescimento dessa criança nos últimos 2 anos ( "desceu" do percentil 50 para o percentil 3) e pele ressecada. Tendo como uma das hipóteses diagnósticas o hipotiroidismo, foi solicitado TSH e T4 livre.
Mãe retorna com a criança trazendo os resultados os quais vêm alterados: TSH =18 mU por ml e T4 livre = 0,4 ng por dl, confirmando, portanto, hipotiroidismo.
Sobre o hipotiroidismo, nessa fase da criança, marque a alternativa CORRETA:
Provas
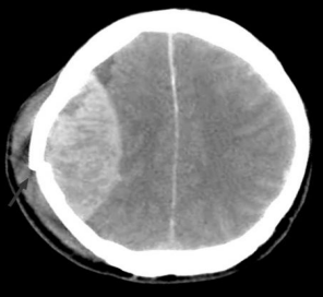
O trauma constitui uma das principais causas de mortalidade na Infância e adolescência, sendo o traumatismo crânio encefálico o trauma mais comum na infância.

Fonte: Disponível em: <https://www.clinicadralexandrecruzeiro.webnode.com.br/news> Acesso em: 18 nov. 2017.
Adolescente, 13 anos, vítima de atropelamento por carro, apresentou perda da consciência, logo após o trauma , mas ao chegar a equipe de resgate, a criança estava alerta, ECG de 14, apresentando intensa cefaleia e discreta hemiparesia à esquerda. Após 2 h na sala de emergência, apresentou rebaixamento do nível de consciência e piora neurológica. Foi submetida à TC de crânio de urgência.
De acordo com a imagem, o diagnóstico dessa criança é:
Provas
A hiperbilirrubinemia indireta constitui-se um dos problemas mais comuns no período neonatal e pode levar à encefalopatia bilirrubínica e a sequelas neurológicas. A fototerapia é o tratamento de escolha para promover a redução dos níveis de bilirrubina indireta, e cada aparelho utilizado tem características, que permitem a melhor opção para cada caso.
A alternativa CORRETA em relação à melhor escolha do aparelho a ser utilizado é:
Provas
Caderno Container