Foram encontradas 2.039 questões.
Foi solicitado o estudo cromossômico de um paciente com azoospermia. A análise realizada em linfócitos de sangue periférico evidenciou cariótipo 46,XX em todas as células avaliadas. Em função desse resultado, foi realizado estudo molecular com a amplificação por PCR de sequências do gene SRY, obtendo-se amplificação na amostra de DNA obtido das células da mucosa oral.
Esse resultado pode ser explicado pela:
Provas
As bandas GTG produzem um padrão de listas nos cromossomos que permitem identificar corretamente todos os pares cromossômicos.
Essa marcação é obtida:
Provas
O estudo de microssatélites de DNA localizados em diferentes posições do cromossomo X foi utilizado para determinar a origem parental do cromossomo X em uma menina portadora de síndrome de Turner e cariótipo 45,X, obtendo-se o seguinte resultado:
|
DXS10148 (Xp22.32) |
DXS10074 (Xq12) |
DXS10101 (Xq26.2) |
|
| Mãe - 46,XX | 27/29 | 18/19 | 29/34 |
| Pai - 46,XY | 26 | 18 | 31 |
| Filha - 45,X | 29 | 19 | 34 |
Assinale a interpretação correta para os dados apresentados.
Provas
O cariótipo 45,XX,der(13;21)(q10;q10) corresponde a sexo feminino, com:
Provas
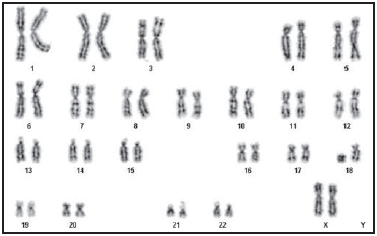
A figura a seguir mostra o cariograma observado em células de sangue periférico.

A nomenclatura correta, de acordo com os critérios do International System for Human Cytogenetic Nomenclature (ISCN), é:
Provas
Assinale a alternativa que apresenta a interpretação correta para o cariótipo 46,XX,del(5)(pter→q13:).
Provas
Sobre a classificação dos cromossomos no cariótipo humano, é correto afirmar que:
Provas
Com relação à metodologia de cultura de células de sangue periférico para diagnóstico citogenético, analise as afirmativas a seguir e assinale a alternativa correta.
I. O sangue coletado deve permanecer na posição vertical por alguns minutos, sem adição de qualquer outra substância, de forma a separar as células vermelhas e o plasma que contém as células brancas (linfócitos).
II. A colchicina é utilizada para interromper o processo de divisão celular, pois interfere na polimerização dos microtubos, bloqueando as células em metáfase.
III. Após a ação da colchicina, as células devem ser fixadas e, posteriormente, submetidas a uma solução salina hipotônica (KCl 0,075M).
Provas
Anomalias hereditárias resultam da ocorrência de mutações no DNA. Uma mutação em um gene estrutural pode alterar seu funcionamento e causar uma alteração fenotípica. Uma mutação de sentido trocado em um gene estrutural acarreta a:
Provas
A proliferação é essencial para o desenvolvimento normal e reposição das células no indivíduo. Cada vez que uma célula se divide, seu conteúdo deve ser replicado para formar duas células-filhas iguais. O ciclo celular compreende duas etapas, que são:
Provas
Caderno Container