Foram encontradas 270 questões.
As soluções injetáveis são suspensões esterilizadas, livres de pirogênicos, em geral isotônicas,
acondicionadas em ampolas ou frasco-ampolas, de forma a manter essas características, indicadas para
a administração parenteral, tendo a desvantagem de:
Provas
Questão presente nas seguintes provas
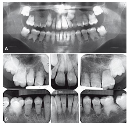
As imagens radiográficas extraoral (A) e intraoral (B) mostram raízes curtas e pouco desenvolvidas,
câmaras pulpares e canais radiculares obliterados, além de osteíte periapical rarefaciente associada.
Observe a meia-lua ou a forma “semilunar” das câmaras pulpares.
Essas características presentes nas imagens referem-se à alteração de desenvolvimento dos órgãos dentários conhecida como:
Essas características presentes nas imagens referem-se à alteração de desenvolvimento dos órgãos dentários conhecida como:
Provas
Questão presente nas seguintes provas
O campo de visão – field of view (FOV) utilizado nos tomógrafos cone beam – que deve ser a
modalidade de imagem de escolha para o retratamento não cirúrgico, a fim de avaliar as complicações do
tratamento endodôntico, como material de obturação do canal radicular, excessivamente estendido
(sobreobturação), instrumentos endodônticos fraturados e localização das perfurações, é o FOV:
Provas
Questão presente nas seguintes provas
O exame de diagnóstico por imagem que usa a saliva do próprio paciente como um meio de
contraste para avaliação das patologias presentes na cavidade oral é denominado:
Provas
Questão presente nas seguintes provas
A tomografia computadorizada de múltiplos detectores (fan beam) de região maxilofacial é um
procedimento indicado para casos de:
Provas
Questão presente nas seguintes provas
Analise as imagens a seguir, que são de um programa de reconstrução multiplanar, usadas para o
planejamento de implantes dentários (dental slice).
As imagens A, B e C, respectivamente, correspondem as radiografias:
As imagens A, B e C, respectivamente, correspondem as radiografias:
Provas
Questão presente nas seguintes provas
Segundo White & Pharoah (2022), em relação aos princípios de interpretação radiográfica, a terceira
etapa para uma elaboração analítica e sistemática padrão para formulação do laudo radiográfico é
analisar:
Provas
Questão presente nas seguintes provas
Paciente, após avaliação clínica, apresentou dor na articulação temporomandibular bilateralmente
com limitação de abertura bucal e estalidos em máxima abertura bucal. A suspeita é de deslocamento
anterior dos discos articulares sem redução. O método de diagnóstico avançado por imagem indicado
para esse caso clínico é:
Provas
Questão presente nas seguintes provas
Paciente, após trauma em região de face e exame clínico suspeito de fratura do arco zigomático à
esquerda, é admitido para avaliação. O exame radiográfico extraoral convencional indicado para o caso
clínico é a projeção:
Provas
Questão presente nas seguintes provas
As imagens de objetos que estão fora do plano de corte nas projeções panorâmicas, que aparecem
com aspecto de borramento e estão localizadas nas regiões superior e contralateral ao objeto real
radiografado, são classificadas como:
Provas
Questão presente nas seguintes provas
Cadernos
Caderno Container