Foram encontradas 640 questões.
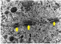
A utilização de microscopia eletrônica em universidades não é frequente, uma vez que esses equipamentos têm custos elevados para aquisição, manutenção e utilização. Na tentativa de contornar essas deficiências, existe a possibilidade de analisar a imagem obtida por microscopia eletrônica e disponibilizá-la em mídias digitais ou impressas. A imagem, a seguir, foi obtida de microscopia eletrônica. Sua análise permite concluir que as estruturas indicadas pelas setas são denominadas de

Provas
Exsicata é uma amostra de planta ou alga que é prensada, em seguida seca em estufa e fixada em cartolina. Nela é adicionada uma etiqueta de identificação. Quais informações são imprescindíveis na etiqueta de uma exsicata?
Provas
Os primeiros equipamentos com capacidade de aumentar o tamanho das estruturas microscópicas foram desenvolvidos no século XVI pelos holandeses Hans Janssen e seu filho Zacarias Janssen. Desde então, a qualidade da microscopia tem evoluído continuamente, chegando aos atuais microscópios eletrônicos. A despeito de tamanha evolução, os equipamentos mais utilizados são, ainda, os Microscópios Ópticos Comuns (MOC). Em relação ao MOC, uma importante característica que deve ser levada em consideração é o seu limite de resolução. Esta qualidade permite que tenhamos imagens com qualidade de nitidez, facilitando, assim, a observação de estruturas celulares procarióticas ou eucarióticas.
Vamos imaginar que você seja convidado a dar um parecer técnico sobre equipamentos que foram oferecidos a uma instituição de ensino superior, conforme dados técnicos da objetiva de 100 vezes de cada MOC, apresentados na tabela a seguir:
Objetiva de 100 vezes | MOC 1 | MOC 2 | MOC 3 | MOC 4 | MOC 5 |
Abertura numérica | 0,40 | 0,25 | 0,10 | 0,85 | 1,25 |
Considerando que a característica limite de resolução seja elemento fundamental para a escolha dos equipamentos, qual dos equipamentos deve ser indicado como sendo o que apresenta imagens com maior nitidez na objetiva proposta?
Provas
Nas medidas de concentração de amostras em solução aquosa é comum a utilização do espectrofotômetro, o qual se baseia na capacidade de uma dada substância em absorver a luz em um comprimento de onda específico. A figura a seguir apresenta o funcionamento de um espectrofotômetro.

Sobre esse equipamento, tem-se o seguinte:
Provas
Uma propriedade da epiderme vegetal é liberar uma camada de cera denominada cutina. Para que serve essa substância?
Provas
Boas práticas de armazenamento de material biológico é um componente essencial de qualquer laboratório. Amostras biológicas podem degradar se armazenadas ou transportadas em temperatura não-recomendada. Existem 5 unidades de armazenamento diferentes: (I) temperatura ambiente; (II) geladeira; (III) freezer; (IV) freezer ultra baixo e (V) freezers criogênicos. Qual alternativa mostra a temperatura ou intervalo de temperatura adequado para cada uma destas classificações?
Provas
Num laboratório para aulas práticas de Biologia, um técnico dispõe de diferentes tipos de vidrarias, conforme imagens a seguir.
Para preparar 100 mL de solução de NaCl a 0,15 mol/L, qual seria a vidraria mais indicada?

Provas
Um estudante de iniciação científica precisa fazer o fracionamento de uma amostra por centrifugação. No laboratório há um equipamento com duas opções, g ou rpm. Sobre estas unidades de medida, verifica-se o seguinte:
Provas
Em uma aula de citogenética, foram realizadas as primeiras etapas relacionadas com a cultura de células de sangue de um animal. Essa aula tem como objetivo obter figuras de metáfases. O professor solicita ao técnico do laboratório que, no décimo dia de desenvolvimento dessa cultura, sejam colocadas sobre o meio de cultura, algumas gotas de uma substância que possa paralisar o fuso mitótico. Sabe-se que essa substância inibe a polimerização de unidades de tubulina. Dessa forma, a substância que o técnico deve utilizar é
Provas
A eutrofização de corpos hídricos pode ser associada ao excesso de fósforo em ambientes lóticos por ação humana. Sabe-se que a concentração máxima permitida é 0,1 mg/L, que é o padrão estabelecido pela Resolução CONAMA (n.º 357/2005). Foram avaliados três métodos diferentes para se saber qual é o mais exato e preciso para esse tipo de análise.
Medida 1 (mg/L) | Medida 2 (mg/L) | Medida 3 (mg/L) | Medida 4 (mg/L) | Medida 5 (mg/L) | |
Método 1 | 0,18 | 0,09 | 0,15 | 0,12 | 0,20 |
Método 2 | 0,10 | 0,11 | 0,10 | 0,09 | 0,10 |
Método 3 | 0,15 | 0,15 | 0,15 | 0,14 | 0,14 |
Com base nas informações do quadro, verifica-se que o método
Provas
Caderno Container