Foram encontradas 1.315 questões.
Um dos fatores etiológicos da má oclusão, a perda de dentes decíduos se torna um fato importante a ser prevenido ou interceptado. Com relação à perda dos segundos molares decíduos, julgue os itens a seguir.
I Essa perda não traz comprometimentos a longo prazo.
II Ocorre, com essa perda, uma mesialização dos primeiros molares permanentes.
III Pode ocorrer impacção dos segundos pré-molares permanentes.
Assinale a opção correta.
Provas
As características da condição de normalidade da dentição decídua não incluem
Provas
Na transição da dentadura mista para a permanente, os primeiros molares permanentes podem sofrer ajustes no posicionamento, conforme o padrão esquelético de crescimento e o tamanho dos segundos molares decíduos. Nesse caso, da dentição decídua para a dentição permanente é menos provável que ocorra transição de
Provas

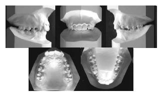
As figuras apresentadas acima apresentam os moldes das arcadas dentárias de um paciente. Assinale a opção correta quanto à fase da dentição em que o paciente se encontra e o tipo de má oclusão apresentado, de acordo com a classificação proposta por Angle.
Provas
No que se refere às características de um paciente portador de má oclusão de classe II, divisão 1, de Angle, assinale a opção incorreta.
Provas
Com relação ao desgaste seletivo, assinale a opção incorreta.
Provas
Assinale a opção correta relativamente aos determinantes horizontais da morfologia oclusal.
Provas
Acerca dos determinantes verticais da morfologia oclusal, assinale a opção correta.
Provas

Com relação aos movimentos mandibulares bordejantes no plano horizontal representados no esquema acima, assinale a opção que apresenta a identificação correta dos números de 1 a 4.
Provas

No gráfico de Posselt acima, que representa os movimentos bordejantes que a mandíbula consegue realizar, os pontos I, II e III correspondem, respectivamente, a
Provas
Caderno Container