Foram encontradas 505 questões.

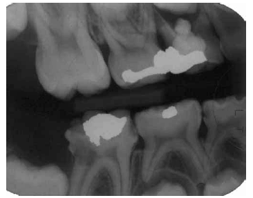
Uma paciente de 10 anos de idade procura tratamento queixandose de dor na região superior direita na região dos molares decíduos. Apresentou durante a consulta radiografia bite-wing recente da região. Considerando essas informações e a imagem radiográfica acima, julgue os itens abaixo.
I É necessário fazer uma tomada radiográfica panorâmica para melhor estabelecer o plano de tratamento.
II O dente 16 apresenta comprometimento mesial e distal por lesão cariosa e provavelmente necessitará de uma coroa total.
III O dente 84 poderá ser restaurado com um material ionomérico modificado por resina.
IV O dente 64 deverá ser extraído, devido ao extravazamento do material obturador.
A quantidade de itens certos é igual a
Provas

Tendo como referência a imagem radiográfica acima, assinale a opção que apresenta a identificação incorreta.
Tendo como referência a imagem radiográfica acima, assinale a opção que apresenta a identificação incorreta.
Provas
Com relação aos dentes mostrados na radiografia apresentada no texto, assinale a opção correta.
Provas
A partir das informações do texto, julgue os itens que se seguem.
I Pode ser indicado no dente 26 a colocação de núcleo radicular e de uma coroa total estética, se o tratamento endodôntico estiver adequado.
II Houve perda de espaço mesiodistal que precisa ser recuperado antes da colocação da restauração definitiva.
III O material estético mais indicado é o cerômero.
IV Houve perda de estrutura na distal do dente 15, provavelmente por iatrogenia durante preparo cavitário anterior.
A quantidade de itens certos é igual a
Provas
A respeito dos anestésicos locais, assinale a opção correta.
Provas
Em relação aos antiinflamatórios não-esteróides de amplo uso na pratica odontológica, é correto afirmar que
I podem reduzir dor, edema e vasoconstrição.
II exercem sua ação antipirética fundamentalmente por meio da inibição da síntese de prostaglandinas no cerebelo.
III podem produzir irritação gástrica, alterações renais e de função plaquetária.
IV não afetam a produção de radicais de oxigênio tóxicos.
A quantidade de itens certos é igual a
Provas
Em relação aos mecanismos de ação dos fármacos, julgue os itens a seguir.
I A aspirina atua inativando irreversivelmente as ciclooxigenase (COX)-1 e COX-3.
II Ao aumentar a dose de um fármaco, a substância sempre afeta outros alvos além de seu alvo principal.
III O paracetamol é antiinflamatório eficaz .
IV A maioria dos alvos farmacológicos é representada por moléculas protéicas.
Estão certos apenas os itens
Provas
Lesões ulcerativas na mucosa oral são frequentemente observadas durante o exame clínico intra-oral. A etiologia dessas lesões é variada e abrange muitas doenças incluindo
I infecções fúngicas.
II neoplasias.
III doenças imunológicas.
IV infecções bacterianas. A quantidade de itens certos é igual a
Provas
Esfoliação precoce de dentes decíduos pode estar associada a doenças sistêmicas ou condições genéticas. Uma doença sistêmica relacionada à esfoliação precoce é a
Provas
Em relação aos efeitos da injúria do complexo dentina polpa decorrentes da doença cárie ou traumatismo, julgue os itens seguintes.
I Moléculas bioativas na matriz extracelular não podem ser liberadas após a dentinogênese.
II Evidências recentes sugerem que o hidróxido de cálcio pode solubilizar alguns fatores de crescimento que poderiam induzir uma resposta celular para a formação da ponte dentinaria.
III A estrutura da dentina impede a passagem de moléculas sinalizadoras até a polpa.
IV Um reparo descontrolado da dentina pode levar à oclusão da câmara pulpar e perda da vitalidade pulpar.
Estão certos apenas os itens
Provas
Caderno Container