Foram encontradas 120 questões.
Os distúrbios eletrolíticos são condições comuns na prática clínica e determinam alterações neurológicas tanto no sistema nervoso central quanto no sistema nervoso periférico. Com relação aos distúrbios do sódio, potássio e cálcio, julgue o item que se segue.
A hiponatremia é definida como uma concentração de sódio inferior a 135 mEq/L, cuja correção deve ser lenta, pelo risco da síndrome de desmielinização osmótica.
Provas
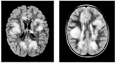
Paciente de 4 anos de idade, com antecedente de quadro gripal há uma semana, evoluiu com alteração do nível de consciência, crises epilépticas focais e hemiparesia à direita. A análise do líquido cefalorraquidiano mostra pleocitose (20 células), com predomínio linfomonocitário e hiperproteinorraquia (80 mg/dL). Os exames de imagem são mostrados a seguir. Foi feita pulsoterapia com corticoide, evoluindo favoravelmente, com recuperação clínica total.

A respeito desse caso clínico hipotético, julgue o seguinte item.
No caso do paciente em tela, devem ser fortemente considerados como diagnósticos diferenciais a mielinólise pontina e extrapontina e as leucodistrofias, que são exemplos de doenças que, apesar de não apresentarem caráter inflamatório, lesam a mielina e podem apresentar evolução monofásica ou progressiva.
Provas
Paciente de 4 anos de idade, com antecedente de quadro gripal há uma semana, evoluiu com alteração do nível de consciência, crises epilépticas focais e hemiparesia à direita. A análise do líquido cefalorraquidiano mostra pleocitose (20 células), com predomínio linfomonocitário e hiperproteinorraquia (80 mg/dL). Os exames de imagem são mostrados a seguir. Foi feita pulsoterapia com corticoide, evoluindo favoravelmente, com recuperação clínica total.

A respeito desse caso clínico hipotético, julgue o seguinte item.
A esclerose múltipla é um diagnóstico diferencial a ser considerado nesse caso, embora se trate de doença que incide primordialmente em adultos jovens, com idade entre 20 e 40 anos, sendo muito raro seu aparecimento em crianças com menos de 10 anos de idade.
Provas
Paciente de 4 anos de idade, com antecedente de quadro gripal há uma semana, evoluiu com alteração do nível de consciência, crises epilépticas focais e hemiparesia à direita. A análise do líquido cefalorraquidiano mostra pleocitose (20 células), com predomínio linfomonocitário e hiperproteinorraquia (80 mg/dL). Os exames de imagem são mostrados a seguir. Foi feita pulsoterapia com corticoide, evoluindo favoravelmente, com recuperação clínica total.

A respeito desse caso clínico hipotético, julgue o seguinte item.
O relato de infecção prévia em pacientes como esse é comum, e eles costumam apresentar taxa laboratorial de positividade superior a 70% na pesquisa dos vírus Epstein-Barr, herpes simplex, varicela, influenza A e B, citomegalovírus e, atualmente, novo coronavírus (Sars-CoV-2).
Provas
Paciente de 4 anos de idade, com antecedente de quadro gripal há uma semana, evoluiu com alteração do nível de consciência, crises epilépticas focais e hemiparesia à direita. A análise do líquido cefalorraquidiano mostra pleocitose (20 células), com predomínio linfomonocitário e hiperproteinorraquia (80 mg/dL). Os exames de imagem são mostrados a seguir. Foi feita pulsoterapia com corticoide, evoluindo favoravelmente, com recuperação clínica total.

A respeito desse caso clínico hipotético, julgue o seguinte item.
Com base nos exames laboratoriais e de imagem desse paciente, o diagnóstico mais provável é de encefalomielite aguda disseminada (ADEM).
Provas
Os lisossomos são organelas citoplasmáticas em cujo interior são catabolizadas várias substâncias; a deficiência enzimática pode resultar em acúmulo de substrato não degradado. A esse respeito, julgue o item subsequente.
Na doença de Fabry, que é uma doença ligada ao cromossomo X, há deficiência da enzima α-galactosidase A, o que leva à deposição do glicoesfingolipídeo globotriaosilceramida nas paredes dos vasos, no coração, nos rins e nas córneas, sendo um achado característico os angioqueratomas.
Provas
Os lisossomos são organelas citoplasmáticas em cujo interior são catabolizadas várias substâncias; a deficiência enzimática pode resultar em acúmulo de substrato não degradado. A esse respeito, julgue o item subsequente.
A doença de Krabbe, ou leucodistrofia com células globoides, é uma doença secundária à deficiência da enzima galactosilceramidase; nesse quadro clínico, a análise do líquido cefalorraquidiano mostra hiperproteinorraquia e a eletroneuromiografia evidencia lentificação da condução nervosa.
Provas
Os lisossomos são organelas citoplasmáticas em cujo interior são catabolizadas várias substâncias; a deficiência enzimática pode resultar em acúmulo de substrato não degradado. A esse respeito, julgue o item subsequente.
A doença de Gaucher tem padrão de transmissão autossômico recessivo e, clinicamente, se manifesta por visceromegalia, irritabilidade, ataxia e disfunção de nervos cranianos.
Provas
Os lisossomos são organelas citoplasmáticas em cujo interior são catabolizadas várias substâncias; a deficiência enzimática pode resultar em acúmulo de substrato não degradado. A esse respeito, julgue o item subsequente.
Na doença de Niemann-Pick tipo A, os achados incluem icterícia neonatal prolongada, atraso neuropsicomotor e hepatoesplenomegalia.
Provas
Os lisossomos são organelas citoplasmáticas em cujo interior são catabolizadas várias substâncias; a deficiência enzimática pode resultar em acúmulo de substrato não degradado. A esse respeito, julgue o item subsequente.
A doença de Tay-Sachs (deficiência de hexosaminidase A) é uma doença de herança autossômica dominante, cuja manifestação inicial ocorre após os 10 anos de idade.
Provas
Caderno Container