Foram encontradas 428 questões.
Lactente de 4 meses de vida, em aleitamento materno exclusivo, está sendo avaliado em unidade básica de saúde, e sua mãe apresenta queixa de má resposta ao tratamento de dermatite atópica, com persistência de lesões esparsas e prurido, apesar de seguir a recomendação de tratamento da pele com hidratação. Na anamnese, o médico que realiza o atendimento identifica que a criança apresenta, há mais de 2 meses, quadro de irritabilidade, refluxo, cólicas, flatulência e fezes amolecidas (tipo diarreia) cinco a seis vezes por dia. Paciente nasceu com 3.200 g e na consulta pesa 5.400 g. Ao exame físico, não se observam anormalidades, exceto pela presença das lesões da dermatite em pele.
Considerando esse caso clínico, assinale a alternativa correta.
Provas
Em relação à síndrome de abstinência e a delirium em pacientes pediátricos submetidos a sedação e analgesia em unidade de terapia intensiva, assinale a alternativa correta.
Provas
Foi levada para o hospital uma escolar de 9 anos de idade, do sexo feminino, com queixa de disúria e polaciúria há 3 dias, acompanhada de febre e dor lombar de até 39 oC há 2 dias. Ao exame, revela-se em bom estado geral, febril (38,2 ºC), e apresenta dor lombar. Com base nesse caso clínico, assinale a alternativa que apresenta um antibiótico que está indicado para o tratamento dessa criança, de acordo com as recomendações da Sociedade Brasileira de Pediatria.
Provas
Um escolar de 7 anos de idade dá entrada no pronto atendimento acompanhado por sua mãe, que refere ter notado alteração de comportamento de seu filho desde que nasceu sua irmãzinha, há cerca de um mês. Relatou que ele anda muito distraído e tem apresentado várias quedas. Referiu também que a professora a convocou duas vezes para reunião para comunicar piora da caligrafia e para comunicar que a criança tem apresentado postura desajeitada, estabanada, derrubando algumas coisas no chão com alguma frequência. A professora também notou que ele tem se recusado a brincar com os colegas de brincadeiras de que costumava brincar, como pega-pega. Considerando esse caso hipotético, assinale a alternativa que apresenta a conduta a ser tomada inicialmente.
Provas
Paciente de 6 anos de idade estava brincando em um parque quando foi mordida por um cão desconhecido, que fugiu após atacar a criança. A criança foi levada ao pronto-socorro e apresentava ferimento extenso na mão direita e alguns ferimentos menores no braço direito. Mãe apresentou carteira de vacinação atualizada. Ao exame, a criança apresentava ferimento extenso nas duas mãos e alguns ferimentos menores em coxa direita. Nesse caso hipotético, a melhor conduta a ser indicada é lavar as feridas com água e sabão e
Provas
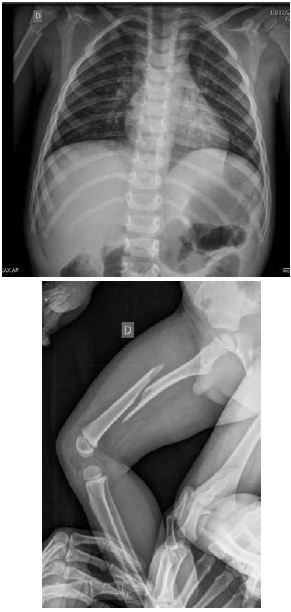
Paciente do sexo masculino, de 3 anos de idade, dá entrada no pronto-socorro infantil acompanhado pela sua mãe e pelo seu padrasto, com queixa de dor na perna por ter caído da cama há duas horas, de uma altura de cerca de 40 cm. Relatam que a queda não foi presenciada. Mãe nega qualquer antecedente prévio ou outras idas ao pronto-socorro. Em relação a outros sintomas, relataram que o paciente está com quadro de infecção de vias aéreas superiores há 2 dias, sem febre. Ao exame, o paciente revela-se choroso, não colaborativo, com dificuldade para realizar o exame físico. Foram realizadas as radiografias apresentadas a seguir.

Com base nesse caso clínico, assinale a alternativa correta.
Provas
Em relação às encefalites virais na infância, assinale a alternativa incorreta.
Provas
Lactente do sexo masculino, com três meses de vida, previamente hígido, deu entrada no pronto atendimento com história de tosse e coriza há quatro dias, com febre de 37,8 ºC no primeiro dia e chiado no peito e cansaço há dois dias. O exame físico revelou o seguinte: REG, hidratado, taquidispneia leve, Sat. O2 de 92% em ar ambiente, sibilância difusa, tiragem subcostal e intercostal. Com base nesse caso hipotético, assinale a alternativa correta, com relação à principal hipótese diagnóstica.
Provas
Em relação à síndrome inflamatória multissistêmica pediátrica associada à covid-19, assinale a alternativa correta.
Provas
Em relação à pneumonia adquirida na comunidade (PAC), julgue os itens a seguir.
I O Streptococcus pneumoniae é o principal agente bacteriano de PAC.
II O diagnóstico de PAC é eminentemente clínico, dispensando a realização de radiografia de tórax para casos ambulatoriais.
III A presença de sibilos é comum na PAC de etiologia bacteriana.
IV A velocidade de hemossedimentação e a concentração de proteína C-reativa são essenciais para distinguir entre as causas virais e as bacterianas de PAC.
V Nos casos ambulatoriais, a amoxicilina com inibidor de beta-lactamase é a primeira opção terapêutica.
Estão certos apenas os itens
Provas
Caderno Container